Figure 4
From: Effects of 1,8-cineole on neuropathic pain mediated by P2X2 receptor in the spinal cord dorsal horn

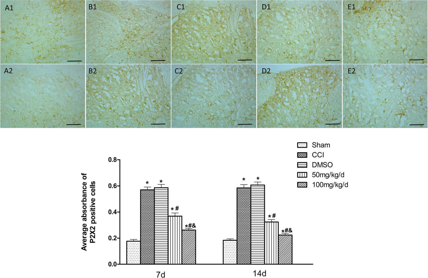
P2X2 immunoreactivity in spinal cord dorsal horn of 1,8-cineole-treated CCI rats. 1 and 2 respectively corresponds to 7 and 14 days after the surgery. (A) to (E) respectively represents the group of the Sham, CCI, CCI + DMSO, CCI + 50 mg/kg, and CCI + 100 mg/kg. P2X2 receptor immunoreactivity, observed mainly in the cytoplasm 7 and 14 days after the surgery, was shown in yellow-brown. In the group of Sham and the two groups of CCI + 100 mg/kg and CCI + 50 mg/kg, less strong immunore activity was showed, while the groups of CCI and CCI + DMSO were distinctly stained. The mean optical density of P2X2 immunoreactive cells was showed in the following statistical figure. &P < 0.05 vs. CCI + 50 mg/kg group, #P < 0.05 vs. CCI group, *P < 0.05 vs. Sham group. All compared to the corresponding time point (least significant difference test and one-way analysis of variance). n = 6 rats in each group, mean ± SD, Scale bar: 50 um.