Figure 7
From: Non-Invasive Photodynamic Therapy against -Periodontitis-causing Bacteria

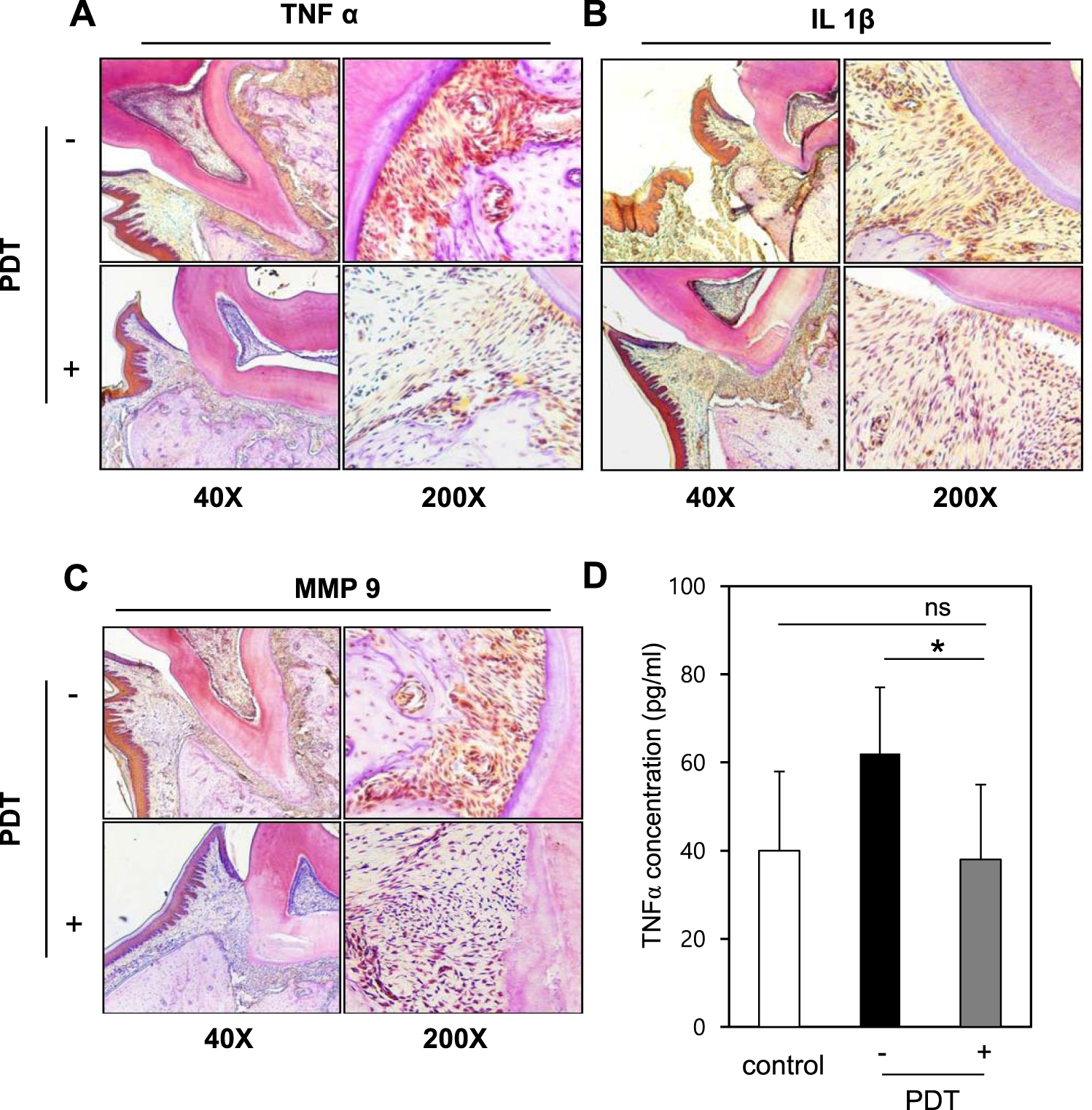
Analysis on inflammation and bone loss marker in animal samples. (A) TNF-α and (B) IL-1β and (C) bone absorption marker MMP-9 were analyzed by IHC. (D) The local concentration of inflammation was monitored with concentration of TNF-α in blood. *p < 0.05.