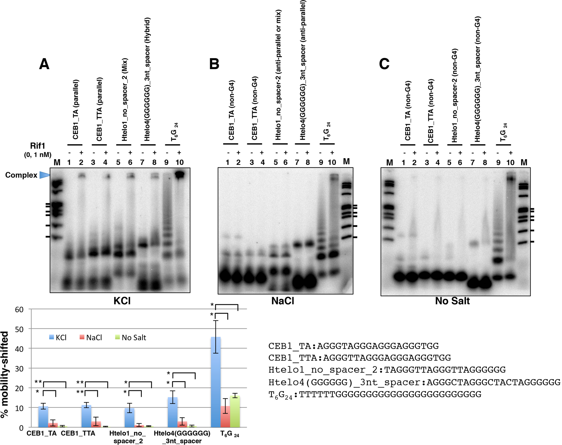
Figure 5

Effect of salt on Rif1 binding to selected G4 oligonucleotides whose topologies change in response to salt. The single-stranded oligonucleotide DNAs (0.25 pmole) as shown, which had been heat-denatured and renatured in 50 mM Tris-HCl (pH 7.5) with 50 mM KCl (A), 50 mM NaCl (B) or no salt (C), were incubated in the presence (+, 10 fmole [1 nM] of the Rif1 full-length polypeptide; the preparation used contains ~10-fold molar excess of degradation products as well) or absence (−) of Rif1 protein. Samples were analyzed on 8% PAGE (1x TBE, 10% glycerol) containing 50 mM KCl (A), 50 mM NaCl (B) or no salt (C). The Htelo1_no_spacer_2 and Htelo4(GGGGGG)_3nt_spacer adopt mix or hybrid-type topology, respectively, in KCl, and these forms are bound by Rif1 (A). However, they adopt anti-parallel type and are not efficiently bound by Rif1 in NaCl (B). The graph shows quantification of the Rif1 binding to each oligonucleotide, conducted as described in the legend to Fig. 2. M: molecular weight marker (ϕX174 DNA digested by HaeIII). The ticks represent the sizes of 310, 271/281, 234, 194, 118 and 72 bp, from the top. The quantification of the binding represents the average of three independent experiments with error bars. The background in the absence of Rif1 protein is subtracted. *p < 0.1; **p < 0.05. The results of the same, but independent assays are shown in Supplementary Fig. S10.