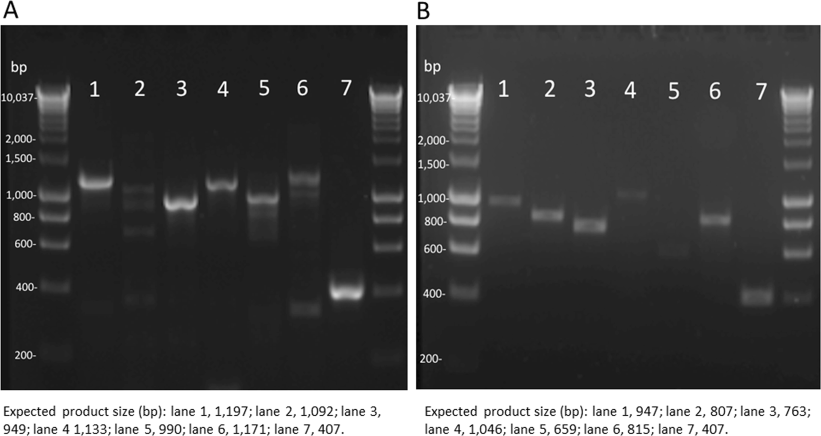
Figure 1
From: The CYPome of the model xenobiotic-biotransforming fungus Cunninghamella elegans

Amplification of CYP genes from C. elegans gDNA (A) and cDNA (B). The lanes are different CYPs whose primers are listed in Table S1: Lane 1, 5206U1; lane 2, 5208A2; lane 3, 5206D1; lane 4, 5205A8; lane 5, 509Q1; lane 6, 5210C1; lane 7, 5313E1. The expected amplicon sizes are given below the figure.