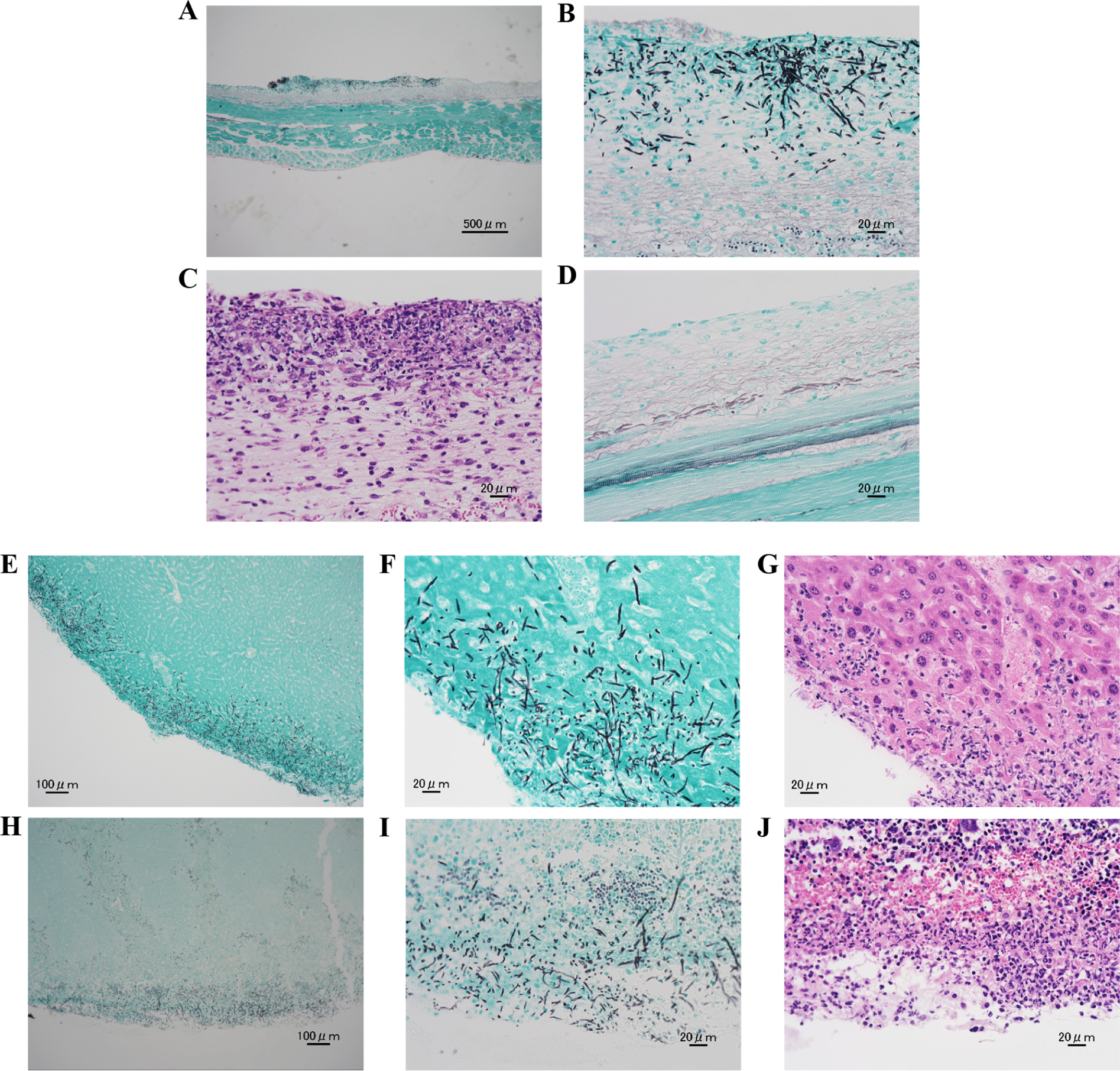
Figure 3

Histopathological examination of the peritoneum, liver and spleen with H & E and Grocott staining. Histopathological examination was performed 12 h after the infection. (A,B) Abscess formation with Candida cells in the thickened submesothelial zone of peritoneum was observed with Grocott staining only in the PF mice without micafungin treatment. (C) Numerous inflammatory cells were also observed with H & E staining in the same sections. (D) Candida proliferation was not detectable in the PF mice with micafungin treatment with Grocott staining. Proliferative Candida infiltration into the subcapsular structure inside the liver (E,F) and spleen (H,I) were observed with Grocott staining only in the PF mice without micafungin treatment. (G,J) Numerous inflammatory cells were also observed with H & E staining in the same sections. The photographs are representative of two independent examinations. Magnification, A × 40, B × 400, C × 400, D × 400, E × 100, F × 400, G × 400, H × 100, I × 400, and J × 400.