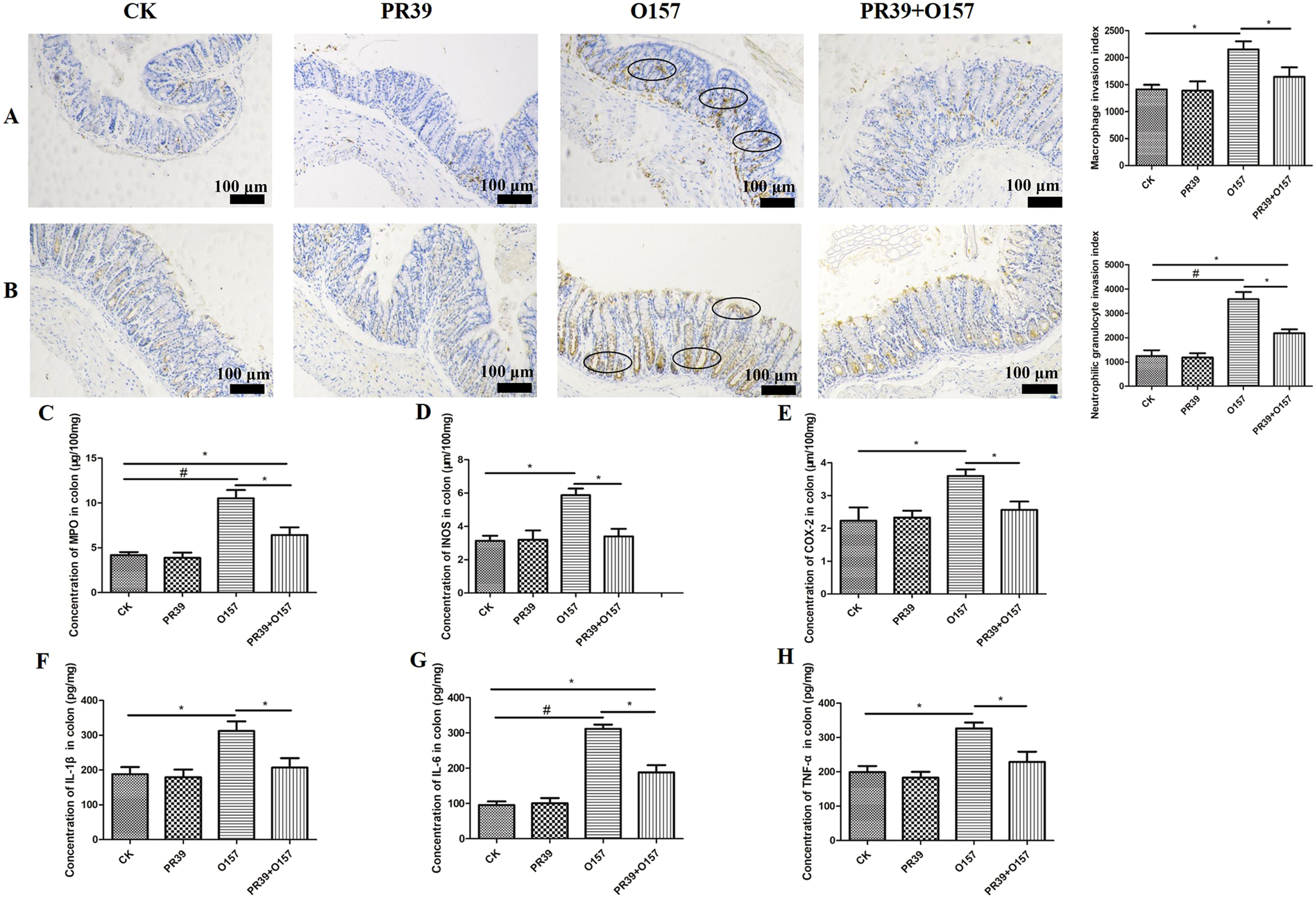
Figure 5

Immunohistochemistry staining of macrophages (F4/80) (A) and neutrophils (CD177) (B) in colon tissues and the corresponding invasion index (n = 6 per group). The concentration of inflammation related enzyme MPO (C), INOS (D), COX-2 (E) and pro-inflammatory cytokines IL-1β (F), IL-6 (G), TNF-α (H) in colon. All of the data are expressed as the mean ± SD. *Means p < 0.05, #means p < 0.01 compared with group CK.