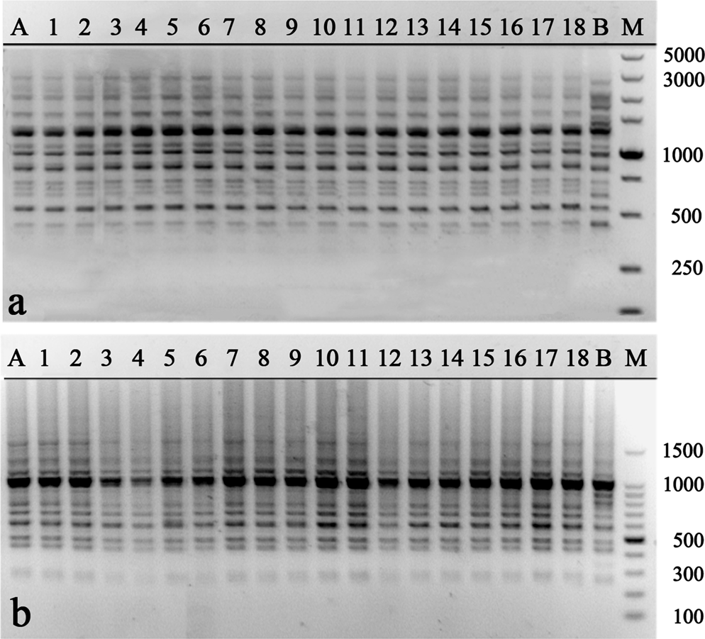
Figure 2

RAPD profiles generated by PCR amplification with primer S10 (a), S30 (b). Lane M: Molecular marker (100 bp–5 Kb for S10; 100 bp–1.5 Kb for S30); Lane A: Mother plant; Lane 1–18: Regenerated plants; Lane B: Another M. sirindhorniae plant developed from seed (negative control).