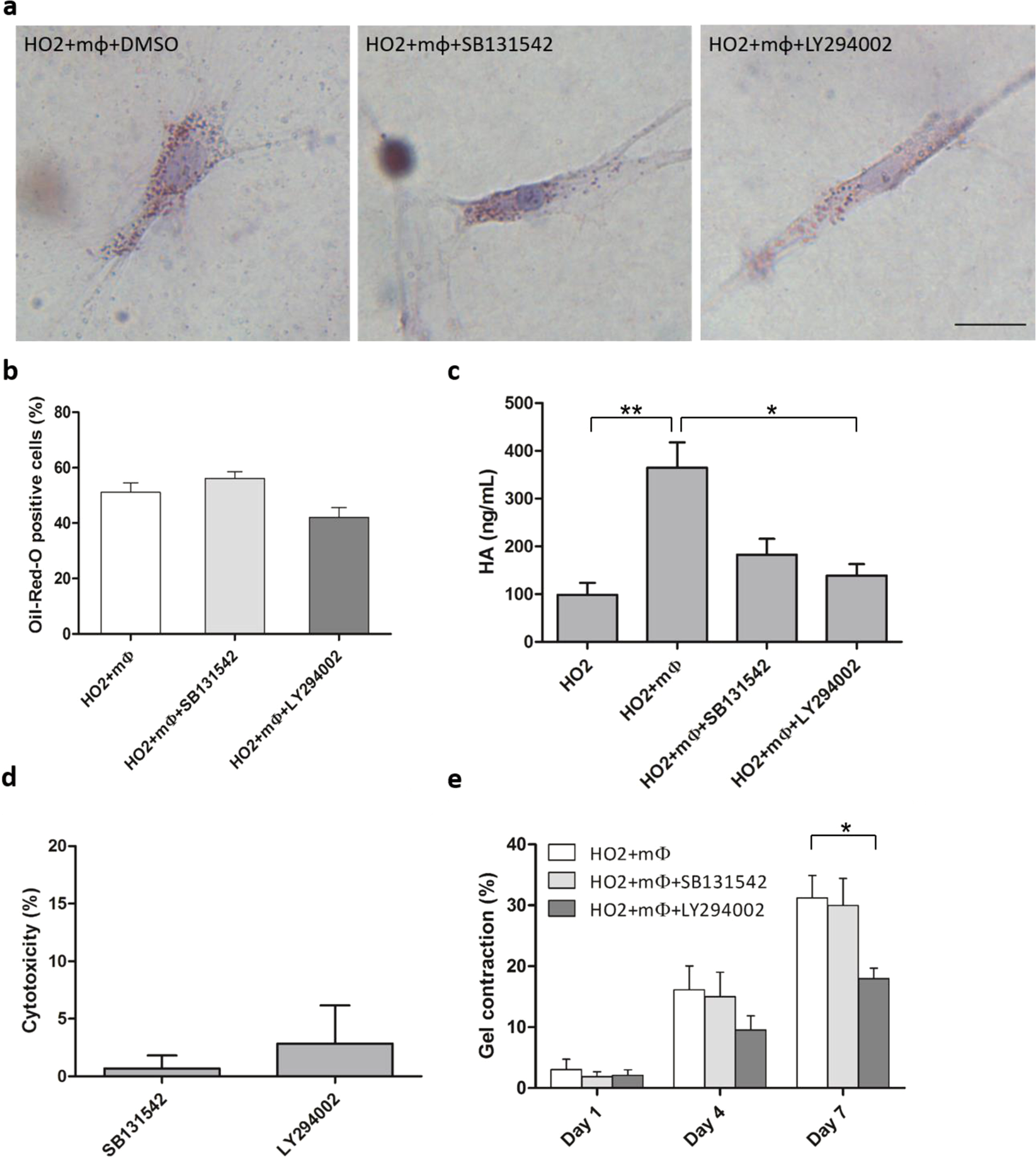
Figure 6

TGF-β and PI3K pathways differentially regulate macrophages’ effect on orbital fibroblasts fibrotic phenotype. (a) Representative images of ORO-stained HO2 fibroblasts (0.74 × 105 cells/ml) co-cultured with macrophages (0.74 × 105 cells/ml) in 3D for 7 days in the presence of DMSO control (0.1% DMSO), TGF-β (SB431542, 10 μM) and PI3K (LY294002, 10 μM) inhibitors. (Scale bar, 25 μm). (b) TGF-β (SB431542, 10 μM) and PI3K (LY294002, 10 μM) inhibitors did not alter lipid vesicle formation in HO2 cells co-cultured with macrophages. HO2 fibroblasts (0.74 × 105 cells/ml) were cultured in gels with macrophages (0.74 × 105 cells/ml) for 7 days and the proportion of cells containing lipid vesicles was counted after Oil-Red-O staining (Mean ± SEM, n = 4, p = 0.343 (SB131542) and p = 0.2 (LY294002), Mann-Whitney test). (c) TGF-β and PI3K inhibition prevented macrophage-mediated HA production. HO2 fibroblasts (0.74 × 105 cells/ml) were co-cultured with macrophages at 1:2 fibroblast:macrophage ratio in gels with/without inhibitors and HA levels were measured after 3 days (n = 3, *p < 0.05, **p < 0.01, Kruskal-Wallis test and post-hoc). (d) LDH assay showed minimal cytotoxicity of SB131542 and LY294002 after 3 days in 1:2 HO2:macrophage co-culture 3D gels. Shown is calculated toxicity normalized to 100% toxicity control (n = 2). (e) HO2 cells (1.48 × 105 cells/ml) were co-cultured with macrophages (2.22 × 105 cells/mL) in collagen gels in serum-free medium for 7 days for contraction assay, with/without TGF-β or PI3K inhibitors. (Mean ± SEM, n = 4, *p < 0.05, Mann-Whitney test).