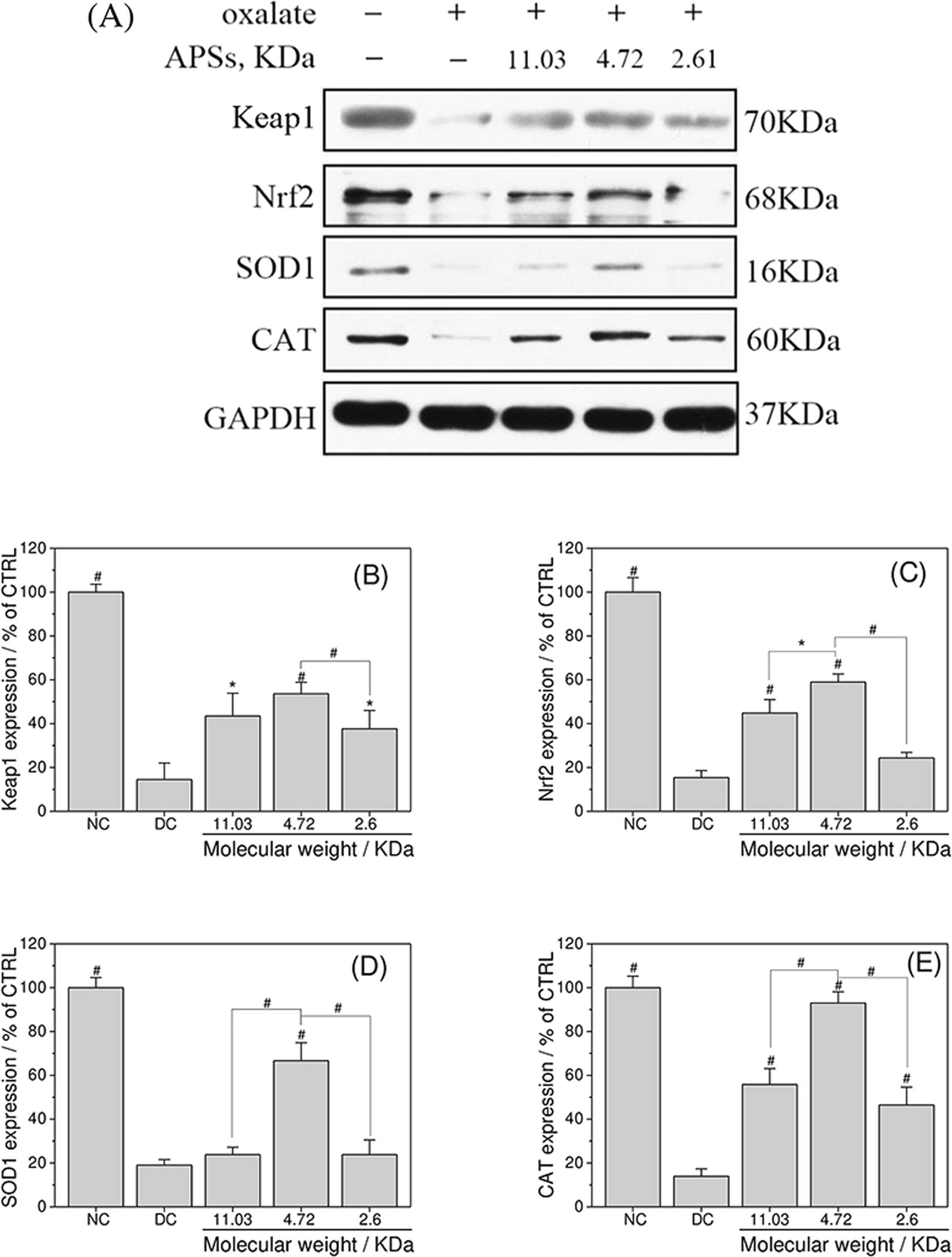
Figure 10

APSs with different Mws influenced the Nrf2–Keap1 signaling pathway. Protein expression of Keap1, Nrf2, SOD1 and CAT were detected by Western blot analysis (A). Protein expression of Keap1 (B), Nrf2 (C), SOD1 (D) and CAT (E) were quantified by Imagel software. Compared with DC group, *P < 0.05; #P < 0.01.