Figure 2
From: Effect of neurokinin-1-receptor blockage on fracture healing in rats

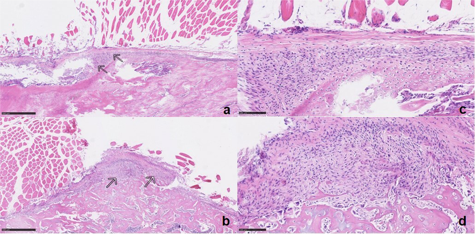
Microscopic imaging of callus tissue. Callus tissue (arrows) between muscle cells (above) and bone (below) in control group (a; calibration = 500 µm) and NK1-R group (b; calibration = 500 µm) in 5× magnification using haematoxylin-eosin staining. Callus tissue in control group (c; calibration = 100 µm) and NK1-R group (d; calibration = 100 µm) in 20× magnification using haematoxylin-eosin staining.