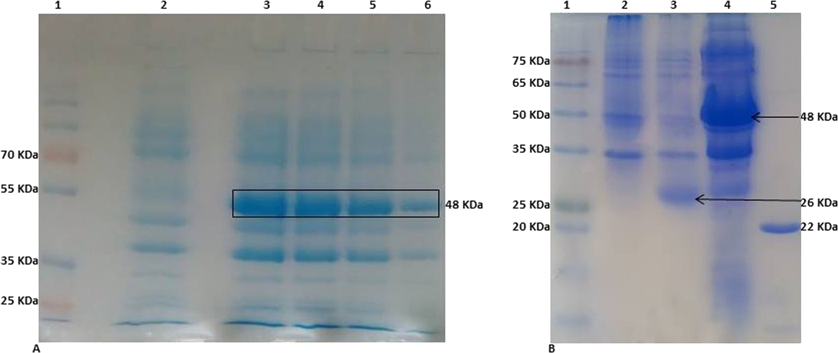
Figure 4

(A) SDS-page analysis visualizing the expressed VP2-protein fused to GST-protein (VP2 + GST) during expression, 1: protein marker, 2: cell lysate from non-transformed E. coli, as a negative control. 3–6: Cell lysates from transformed E. coli with recombinant PGex–4t1-VP2, collected at different time points post IPTG induction (3 is the last, 6 is the initial); the VP2 apparent band revealed in different intensity over the time (boxed). (B) SDS-page visualizing the purified VP2 recombinant protein. 1: Protein marker, 2: cell lysate from non-transformed E. coli, as a negative control, 3: cell lysate from E. coli transformed with non-recombinant PGex–4t1, as a positive control (express GST-protein at 26 kDa) (arrow), 4: cell lysate from E. coli transformed with recombinant PGex–4t1-VP2 revealing the VP2 + GST (arrow) and 5: purified VP2-capsid protein after thrombin cleaving (22 KDa).