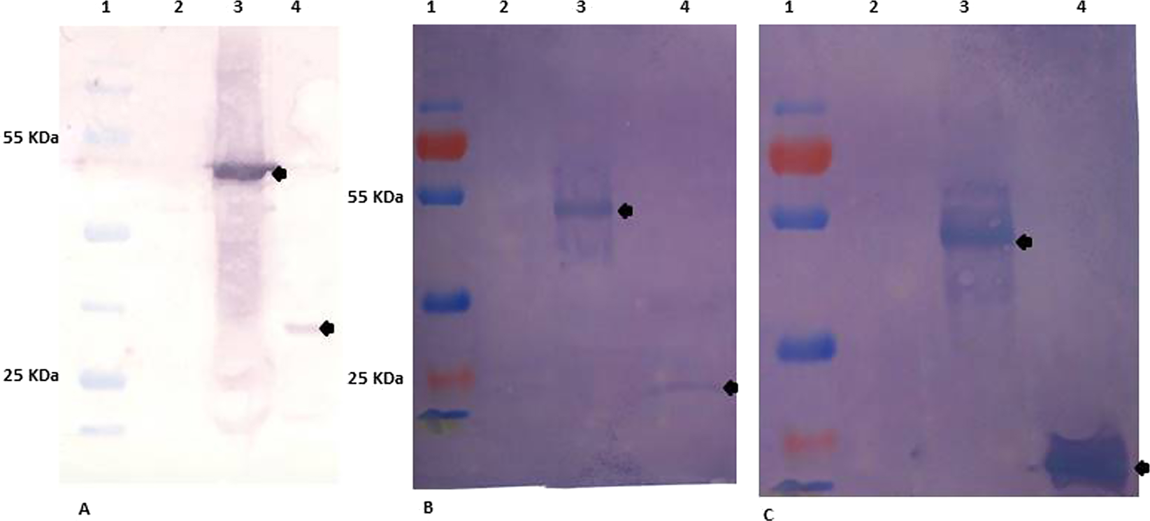
Figure 5

Western blot analysis of the VP2 immunoreactivity and antigenicity. VP2 immunoreactivity where it was able to detect FMDV antibodies in serum from trivalent vaccinated bovine (A), in addition to its ability to recognize specific anti-FMDV SAT 2 guinea pig antiserum (B), while its antigenicity was assessed by raising effective polyclonal antibodies in mice (C). 1: Protein marker, 2: cell lysate from non-transformed E. coli as a negative control, 3: cell lysate from E. coli transformed with recombinant PGex–4t–1-VP2 and 4: purified VP2-capsid protein after being liberated by thrombin cleaving.