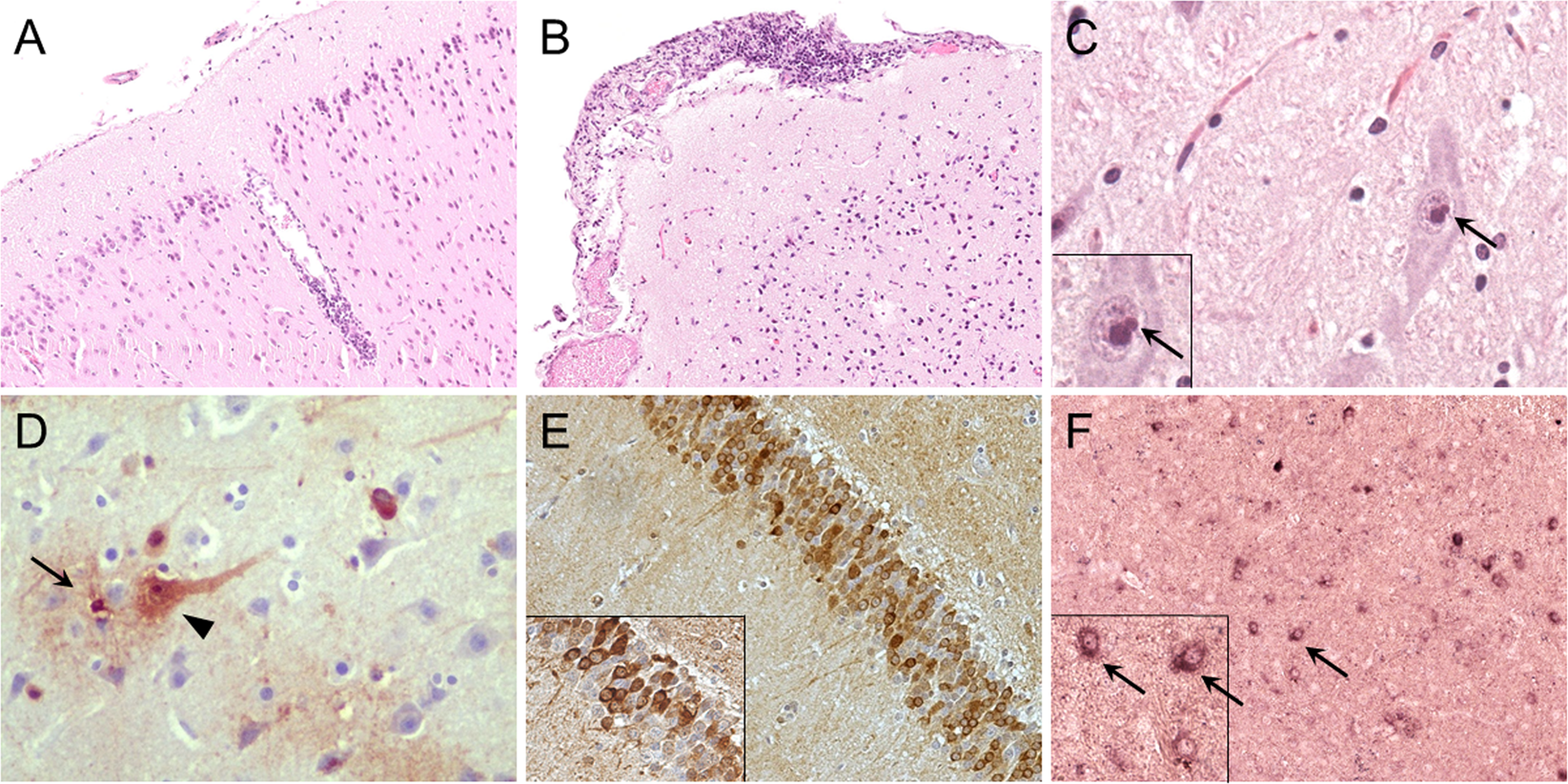
Figure 1

Histology (H&E), immunohistochemistry (IHC) and in situ hybridisation (ISH) of brain tissue of variegated squirrel bornavirus 1 (VSBV-1) infected variegated and Prevost’s squirrels. (A) Cortex cerebri of Prevost’s squirrel P#7. Mild non-purulent perivascular encephalitis; H&E, original magnification x100. (B) Brainstem of variegated squirrel V#1. Mild non-purulent meningitis; H&E, original magnification x100. (C) Brainstem of variegated squirrel V#6. Neuron with eosinophilic intranuclear Joest-Degen inclusion body (insert, arrow); H&E, original magnification x400. (D) Midbrain of variegated squirrel V#3. Demonstration of VSBV-1 P in neurons (arrowhead) and astrocytes (arrow); IHC, original magnification x400. (E) Hippocampus of Prevost’s squirrel P#8. Demonstration of VSBV-1 P in hippocampal neurons; IHC, original magnification x200, magnification of insert x400. (F) Cerebrum of Prevost’s squirrel P#8. Demonstration of VSBV-1 genomic RNA in cytoplasm of neurons (arrow); ISH, original magnification x100, magnification of insert x400.