Figure 2

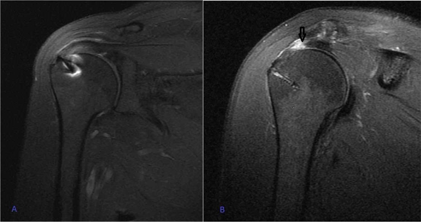
(A) Intact repair at the first year shoulder coronal MRI sequence in a group 2 patient. (B) Retear at the first year shoulder coronal MRI sequence in a group 3 patient. Black arrow shows Sugaya type 5 retear.

(A) Intact repair at the first year shoulder coronal MRI sequence in a group 2 patient. (B) Retear at the first year shoulder coronal MRI sequence in a group 3 patient. Black arrow shows Sugaya type 5 retear.