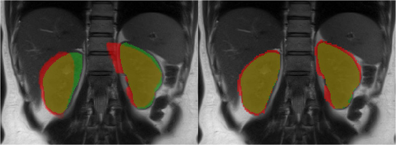
Figure 6
From: Diffusion Tensor Imaging of the Kidney: Design and Evaluation of a Reliable Processing Pipeline

Comparison of kidney segmentation results obtained from the b0-image without processing (left) and with topup-s2v pipeline (right) overlaid on HASTE image. Green and red pixels correspond to the mask obtained from HASTE and b0-image, respectively. Pixels in yellow colour represent the overlap between masks from HASTE and b0-image.