Figure 4
From: Identification of a Kavain Analog with Efficient Anti-inflammatory Effects

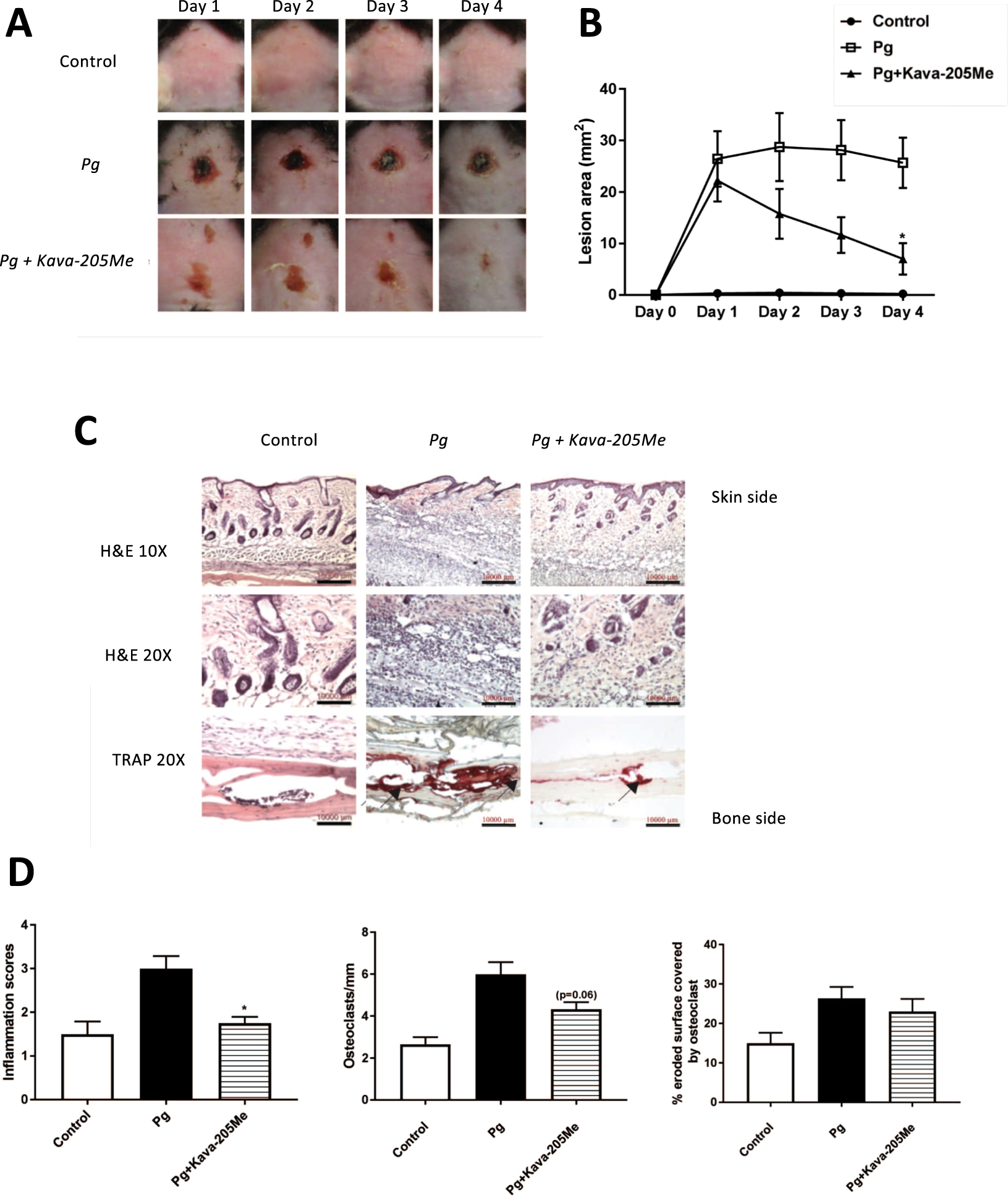
Effect of Kava-205Me on calvarial healing. Injection of Kava-205Me (1 mg) significantly decreased P. gingivalis-induced calvarial destruction. After 4 days, calvarial wounds in treated mice had largely closed while wounds in untreated mice still exhibited large lesions (A,B). At the histological level, a decreased number of inflammatory cells within soft tissue was observed in the Kava-205Me group, and fewer for TRAP positive cells were observed (C). Quantitative evaluation of histological changes following Kava-205Me treatment (inflammation score; osteoclast index, osteoclast-covered surface) (D). *p < 0.05.