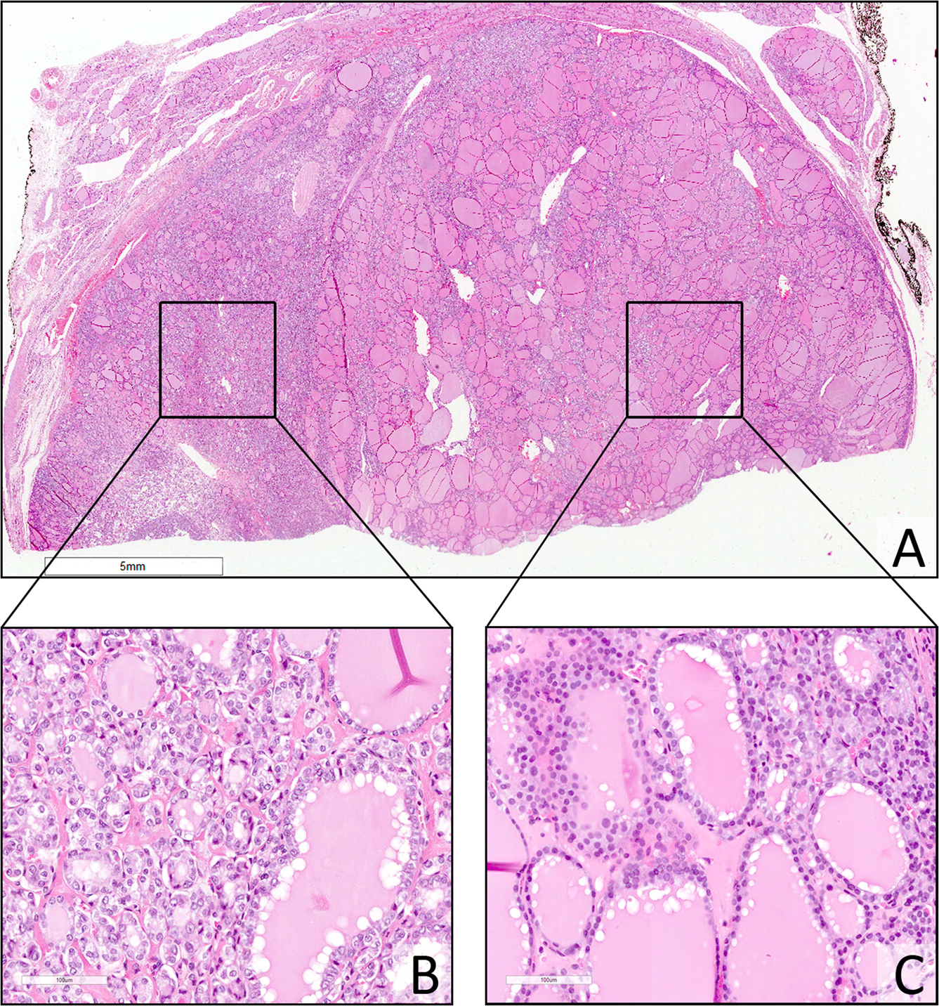
Figure 2

(A) Sprinkling Noninvasive follicular thyroid neoplasm with papillary-like nuclear features (NIFTP). (H&E, 4x). (B,C) Different cells populations Noninvasive follicular thyroid neoplasm with papillary-like nuclear features (NIFTP) showing the sprinkling; on the left, papillary thyroid carcinoma-like (PTC-like) features and, on the right, follicles with dark, hyperplastic-like nuclei. (H&E, 20x)