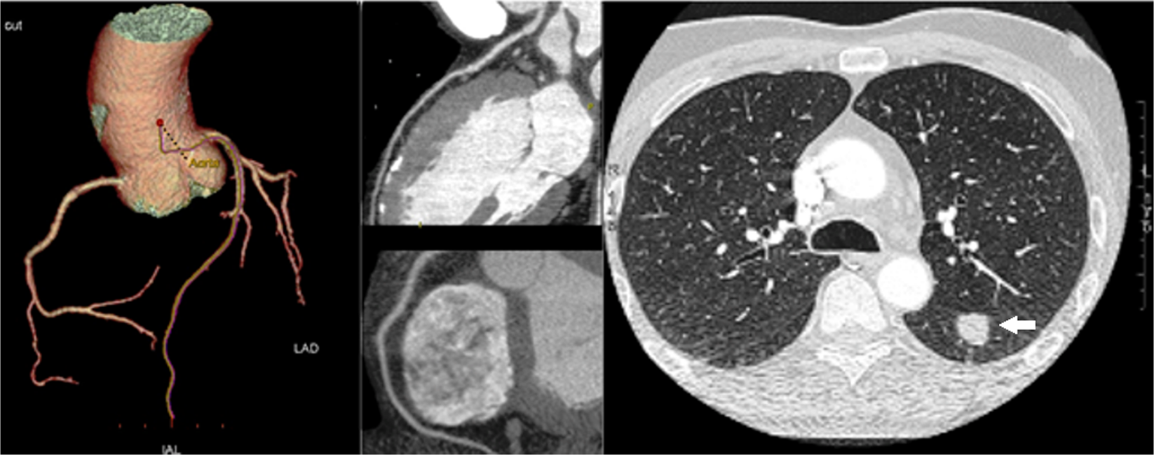
Figure 5

A case of coronary artery disease and lung cancer detection. CT images of the lungs showed a 20 mm pulmonary nodule (white arrow) in the left lobe (right panel). The patient underwent a complete diagnostic work-up, including positron emission tomography, and eventually underwent surgical resection. The cardiac CT revealed normal left coronary artery and right coronary artery (left panels).