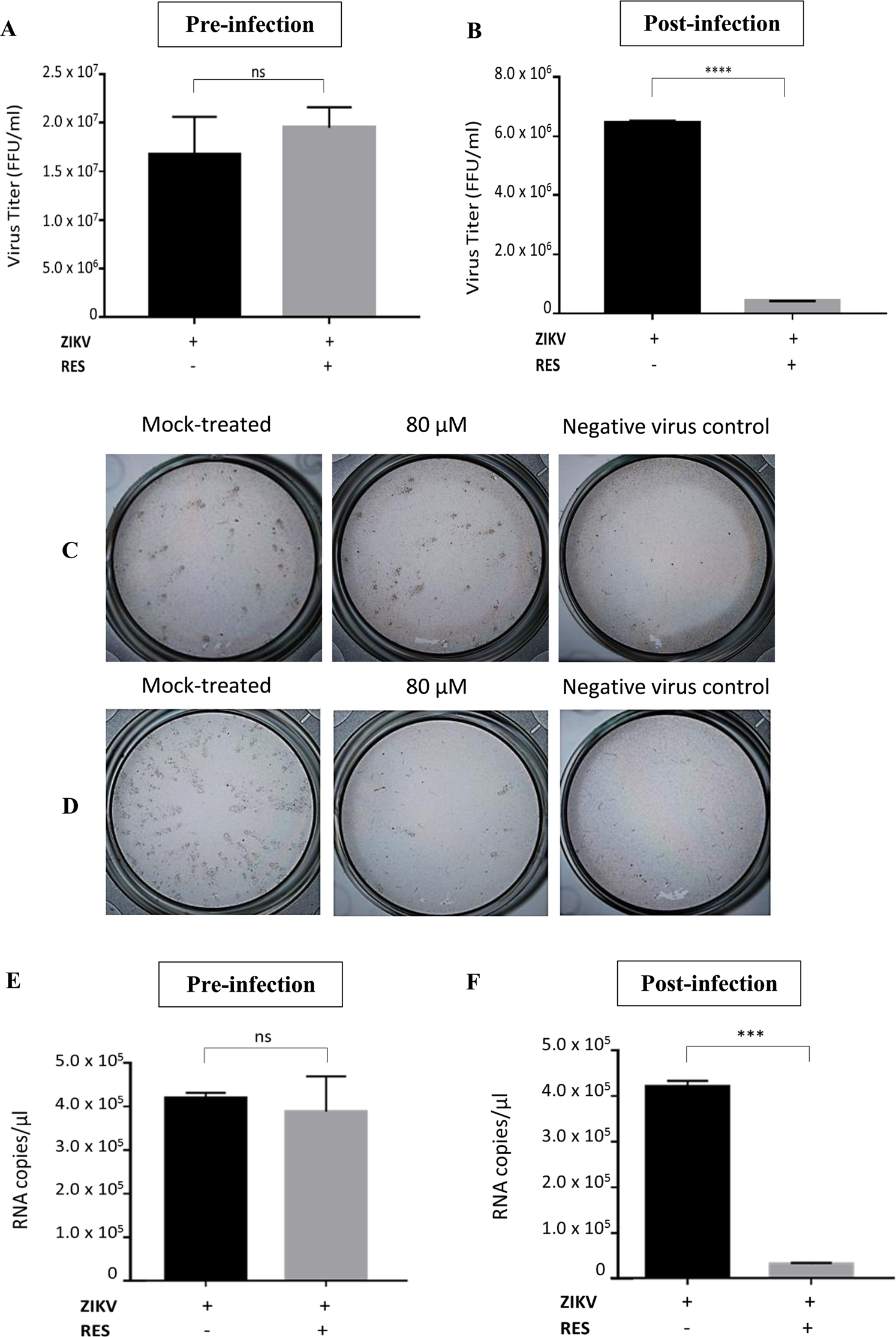
Figure 3

Inhibitory effects of RES after virus entry. Huh7 cells were treated with 80 µM RES before (pre-infection, A) or after (post-infection, B) ZIKV infection at an MOI of 1 for 48 h. The cell supernatants were collected after 48 h and virus titer was determined using focus-forming assay. Foci formed in mock-treated, pre-infection (C) and post-infection (D) conditions after three days of incubation were shown. The mock-treated and non-infected cells were used as controls. The ZIKV mRNA copy numbers in pre-infection (E) and post-infection (F) were quantified using qRT-PCR. Data obtained from duplicate assays were analyzed and plotted using Graph Pad Prism 7 (Graph Pad Software Inc., San Diego, CA, USA, 2016). Statistical differences between groups were as follow: ***P < 0.001, ****P < 0.0001.