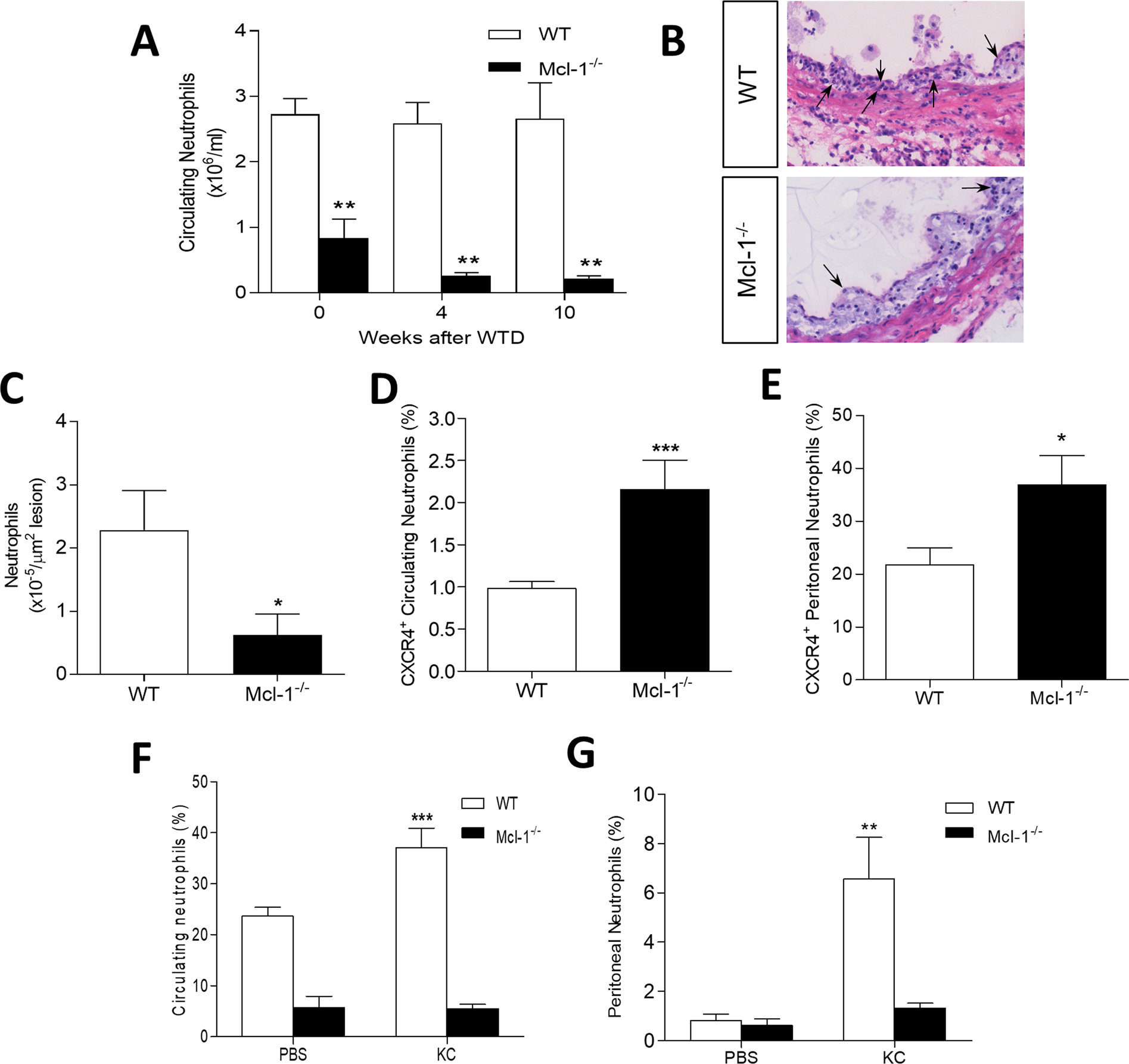
Figure 2

Mcl-1−/− chimeric mice have altered neutrophil levels and characteristics. (A) Circulating neutrophils were defined as Gr1+ and measured by flow cytometry in blood samples obtained from tail vein of WT and Mcl-1−/− bone marrow chimeras. (B) Representative H&E pictures of WT and Mcl-1−/− atherosclerotic plaques (n = 19). Neutrophils are indicated by the arrow. (C) in aortic root atherosclerotic lesions of BM transplanted LDLr−/− after 10 weeks of WTD (n = 19). (D,E) CXCR4 expression in circulating and peritoneal neutrophils respectively assessed by flow cytometry (CXCR4 positive cells within the neutrophil gate of A). (F,G) Circulating and peritoneal neutrophil levels respectively 2 h after CXCL1 injection measured by flow cytometry (CXCR4 positive cells within the neutrophil gate of A). Data is presented as mean ± SEM. ***p < 0.001, **p < 0.01 and *p < 0.05.