Figure 2
From: Evaluation of Chitosan-based Dressings in a Swine Model of Artery-Injury-Related Shock

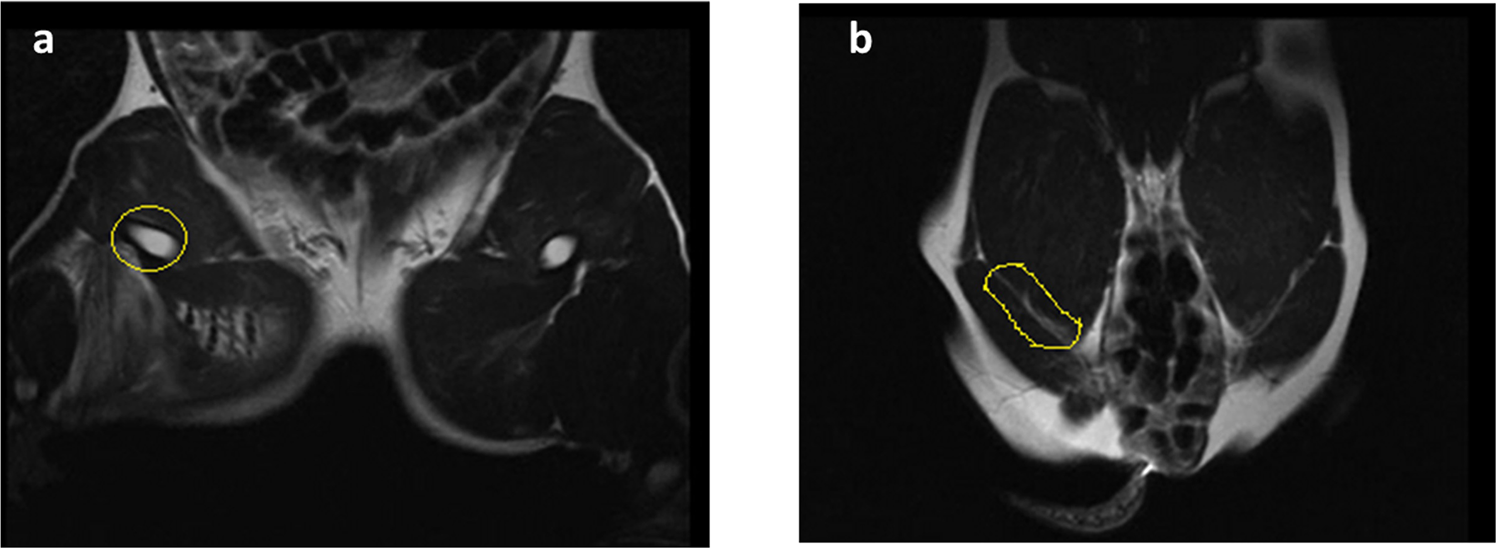
Representative MRI of the arterial circulation in the hind legs of surviving animals treated with CF and CS dressings 3 hours after surgery (a,b). Note that the blood flow in the treated femoral artery was not affected (yellow circle).