Figure 3
From: Tracking genome-editing and associated molecular perturbations by SWATH mass spectrometry

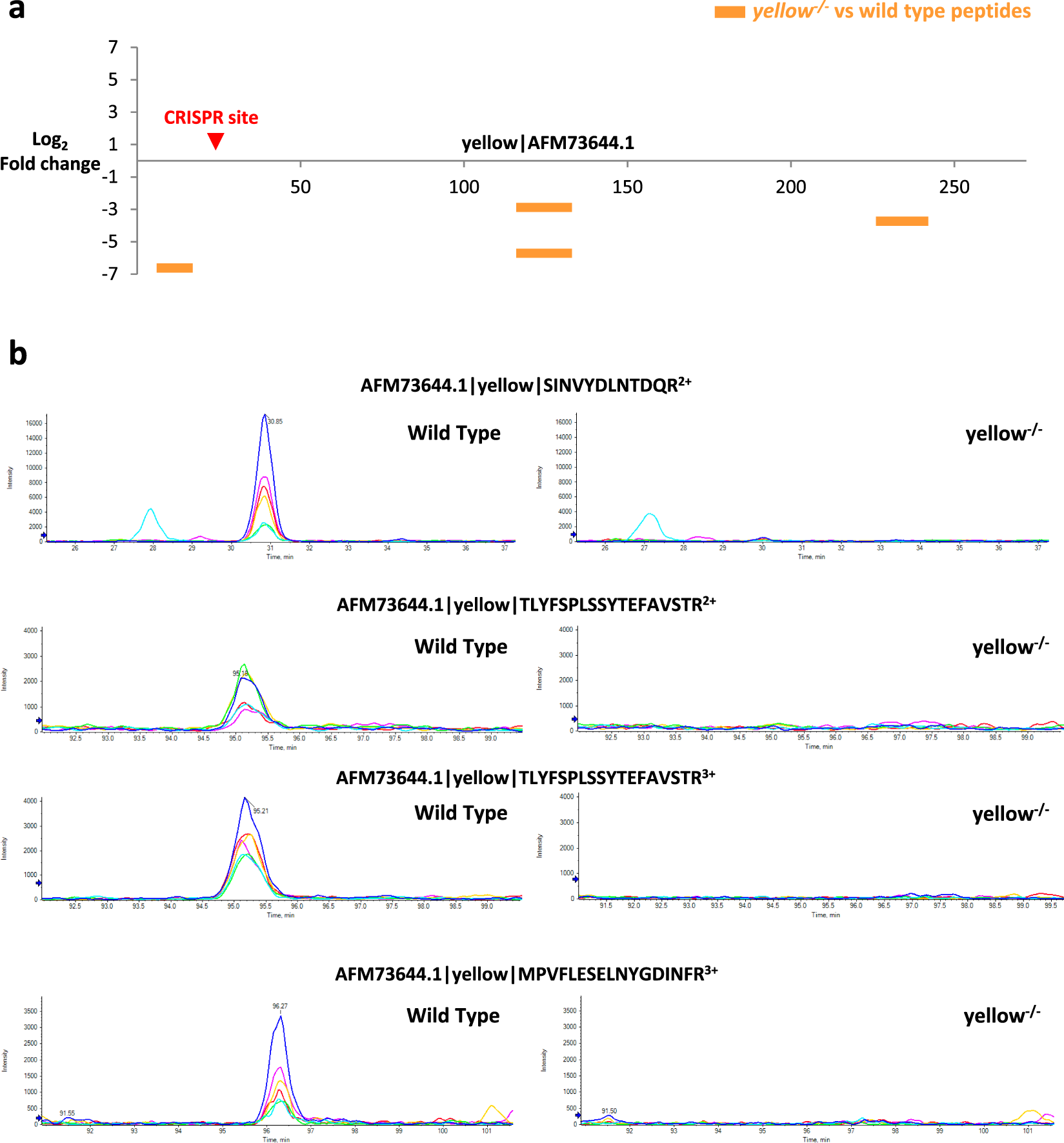
SWATH can validate protein silencing in non-model species without need for spectral library. (a) Predicted termination codon introduced by CRISPR-induced frameshift indicated by red arrow. SWATH quantification showed lower levels of yellow peptides (orange horizontal bars) in yellow−/− samples as compared to wild type, indicating absence of the yellow protein in the mutant samples. (b) Representative extracted ion chromatograms (XICs) of the four quantified yellow precursors from wild type and yellow−/− samples.