Figure 6
From: Using high-throughput sequencing to explore the anti-inflammatory effects of α-mangostin

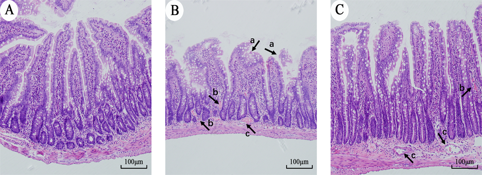
H&E staining was used to observe jejunal injury in rats. (A) Control group jejunum. (B) LPS group jejunum. (C) Jejunum of the α-MG group. (a) Exfoliation of the intestinal villi, (b) bleeding, and (c) hyperemia. Magnification, ×200.