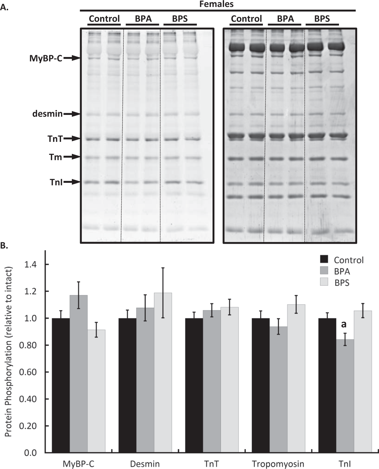
Figure 4

Cardiac myofilament phosphorylation changes in female mouse hearts following bisphenol A (BPA) or S (BPS) treatment. Hearts excised from female CD1 mice were perfused for 15 min with BPA (1 nM), BPS (1 nM), or vehicle (0.0001% ethanol, Control) and cardiac myofilaments were isolated. (A) Myofilament proteins were separated with 12% SDS-PAGE and stained with Pro-Q Diamond phosphoprotein stain (left) to detect phosphorylated proteins. Total protein load was measured by staining gels with coomassie stain (right). (B) Quantification of protein phosphorylation changes. Key: MyBP-C, myosin binding protein C; TnT, troponin T, Tm, tropomyosin; TnI, troponin I. N = 10 per group. Values presented are mean ± SEM. ap < 0.05 vs baseline of same group; bp < 0.05 vs BPA.