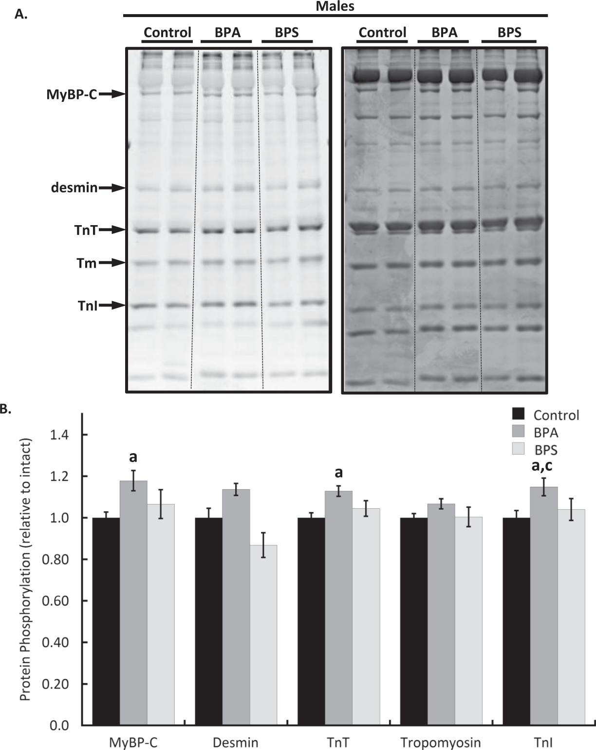
Figure 5

Bisphenol A (BPA) but not bisphenol S (BPS) alter cardiac myofilament phosphorylation in male mouse hearts. Hearts from male CD1 mice were perfused for 15 min with BPA (1 nM), BPS (1 nM), or vehicle (0.0001% ethanol, Control). (A) Isolated cardiac myofilament proteins were separated with 12% SDS-PAGE and phosphorylated proteins detected using Pro-Q Diamond phosphoprotein stain (left). Coomassie stain was used to determine total protein load (right). (B) Quantification of cardiac myofilament protein phosphorylation changes. Representative samples from the same gel are presented. Key: MyBP-C, myosin binding protein C; TnT, troponin T, Tm, tropomyosin; TnI, troponin I. N = 10 per group. Values presented are mean ± SEM. ap < 0.05 vs baseline of same group; bp < 0.05 vs BPA; cp < 0.05 vs same treatment and time in females.