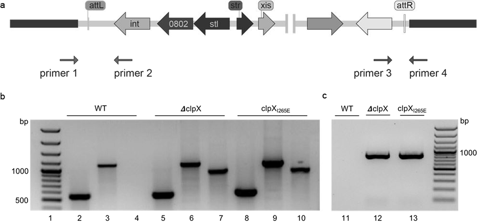
Figure 2

SaPI5 excises spontaneously from JE2ΔclpX and JE2clpXI265E. (a) Diagram depicting the annealing sites of primer pairs used to detect SaPI5 integrated into the chromosome (P1 + P2 and P3 + P4), and to detect excision of SaPI5 from the chromosome (P1 + P4), or excised, and circularized SaPI5 (P2 + P3). (b) PCR products amplified from DNA extracted from JE2 wild-type, JE2ΔclpX, and JE2clpXI265E as indicated using primer sets P1 + P2 (lanes 2, 5 and 8), P3 + P4 (lanes 3, 6 and 9), and P2 + P3 (lanes 4, 7, and 10). (c) PCR fragments amplified using primer set P1 + P4 and DNA extracted from JE2 wild-type (lane 11), JE2ΔclpX, (lane 12), and JE2clpXI265E (lane 13). DNA ladders are loaded in lane 1 and 14.