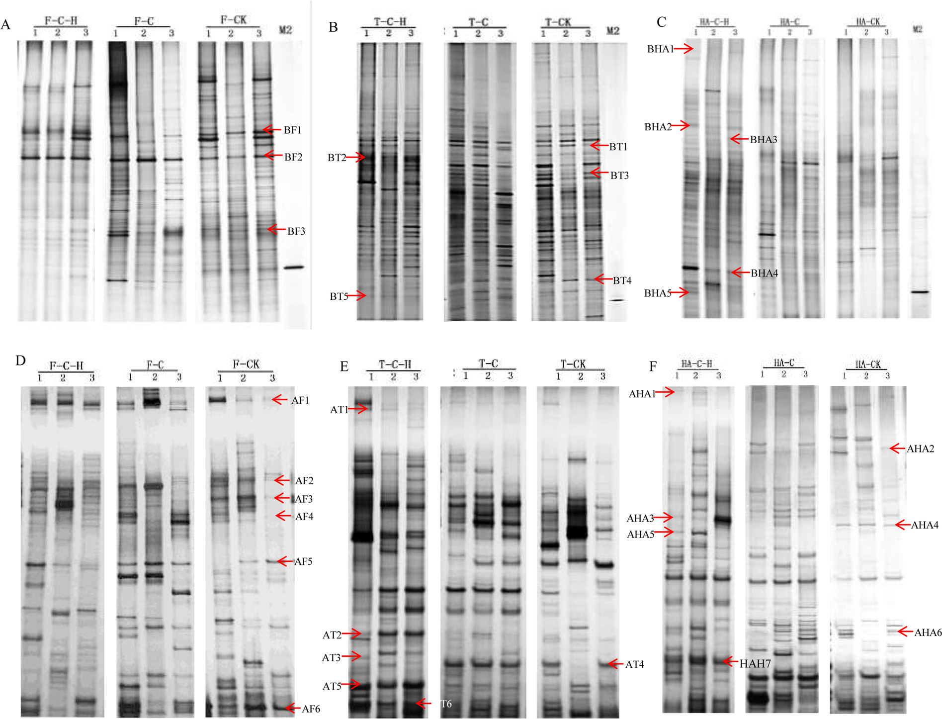
Figure 2

DGGE patterns of bacterial 16 S rDNA genes (A–C) and fungal ITS (D–F) in different treatments immediately after biofumigation (A,D), and at 30 d (B,E) and 120 d (C,F) after transplanting. C-H: combination of Streptomyces rubrogriseus HDZ-9-47 and biofumigation by cabbage. H: application of HDZ-9-47 alone. C: soil biofumigation with cabbage. M2: marker of a PCR product obtained from HDZ-9-47. F, T, and HA: samples collected before biofumigation and at 30 d and 120 d after transplanting, respectively. All images in this figure were partly selected from original images of DGGE assays on bacteria and fungi and spliced together.