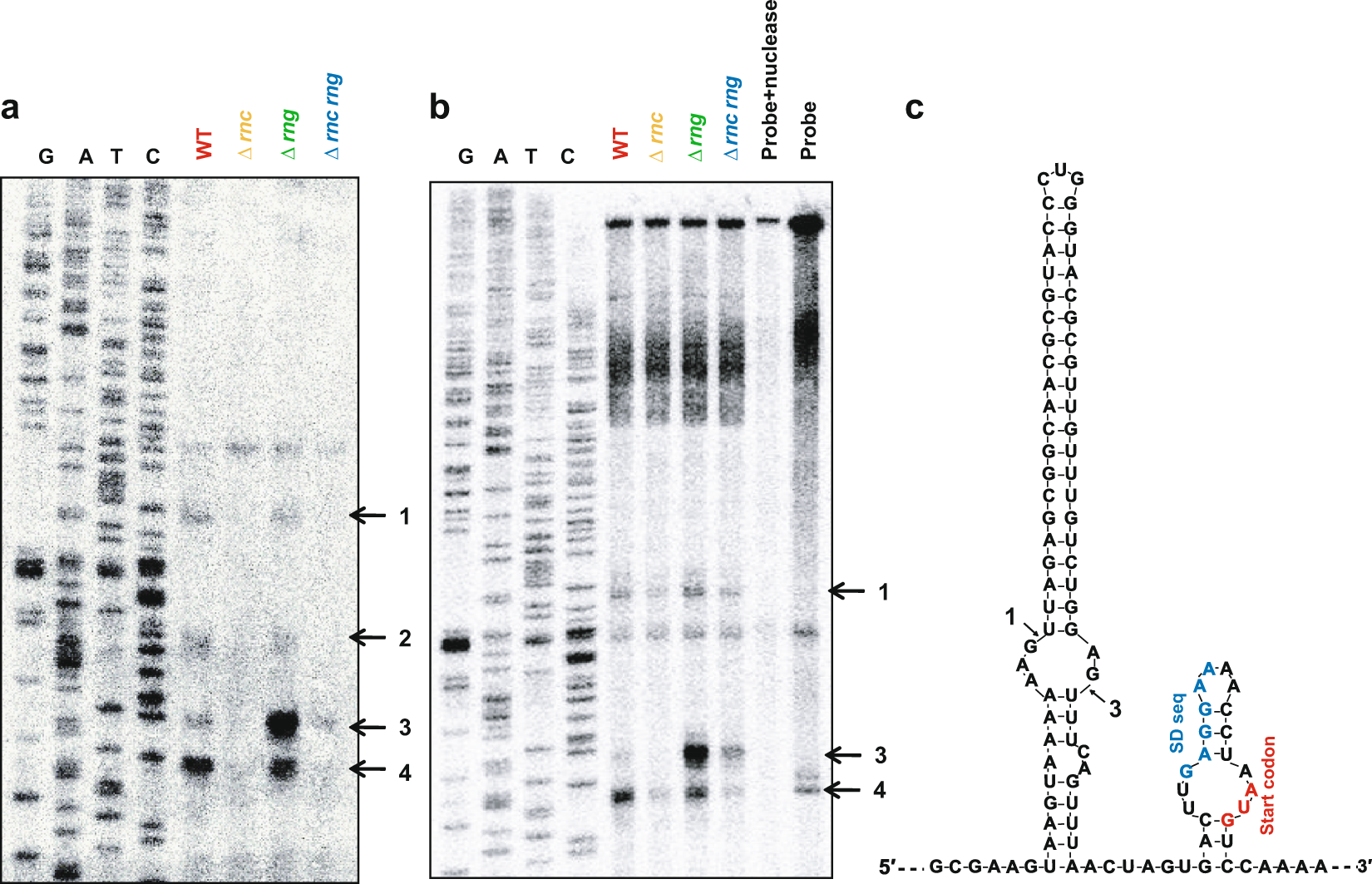
Figure 2

Identification of RNase cleavage sites in eno mRNA in vivo. (a) Primer extension analysis of the 5′ UTR of eno mRNA in vivo. Total RNA was isolated from MG1655 strains (WT, Δrng, Δrnc, and Δrnc rng) and hybridised with the 5′ end 32P-labelled primer (eno + 52 R). Synthesised cDNA products were separated on a 6% polyacrylamide gel containing 8 M of urea. Sequencing ladders were synthesised with the same primers used for cDNA synthesis and PCR DNA encompassing the eno gene was used as a template. (b) S1 nuclease mapping. Total RNA was hybridised with the 5′ end 32P-labelled DNA probe. The DNA: RNA complex was treated with 1 U of S1 nuclease and separated in denaturing gel as described above. (c) Predicted eno 5′ UTR secondary structure and RNase cleavage sites. The secondary structure was inferred using the M-fold program. RNase III (1, 2, 3, and 4) cleavage sites identified in (a) and (b) are indicated. The putative Shine–Dalgarno sequence and start codon are indicated as blue and red colours, respectively.