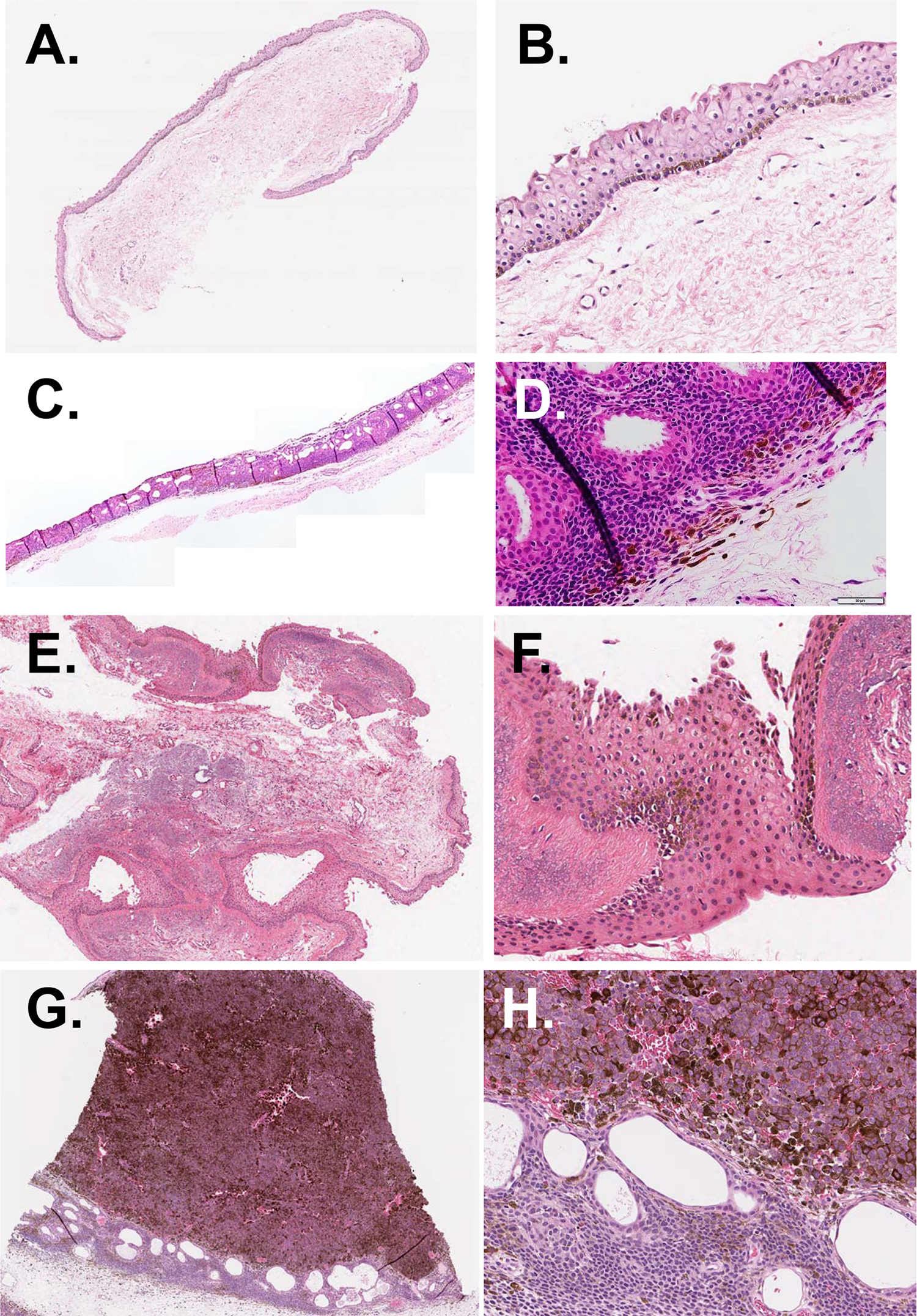
Figure 1
From: Conjunctival pigmented lesion: Clinicopathological analysis of 85 cases in Korean population

Representative photomicrographs of conjunctival pigmented lesions according to histological classification. (A,B) Benign epithelial melanoses of the conjunctiva. (C,D) Compound nevus. (E,F) Primary acquired melanosis without atypia. (G,H) Malignant melanoma. (A,C,E,G) Original magnification ×40. (B,D,F,H) Original magnification ×200. Scale bar 50 μm.