Figure 2
From: Converging TLR9 and PI3Kgamma signaling induces sterile inflammation and organ damage

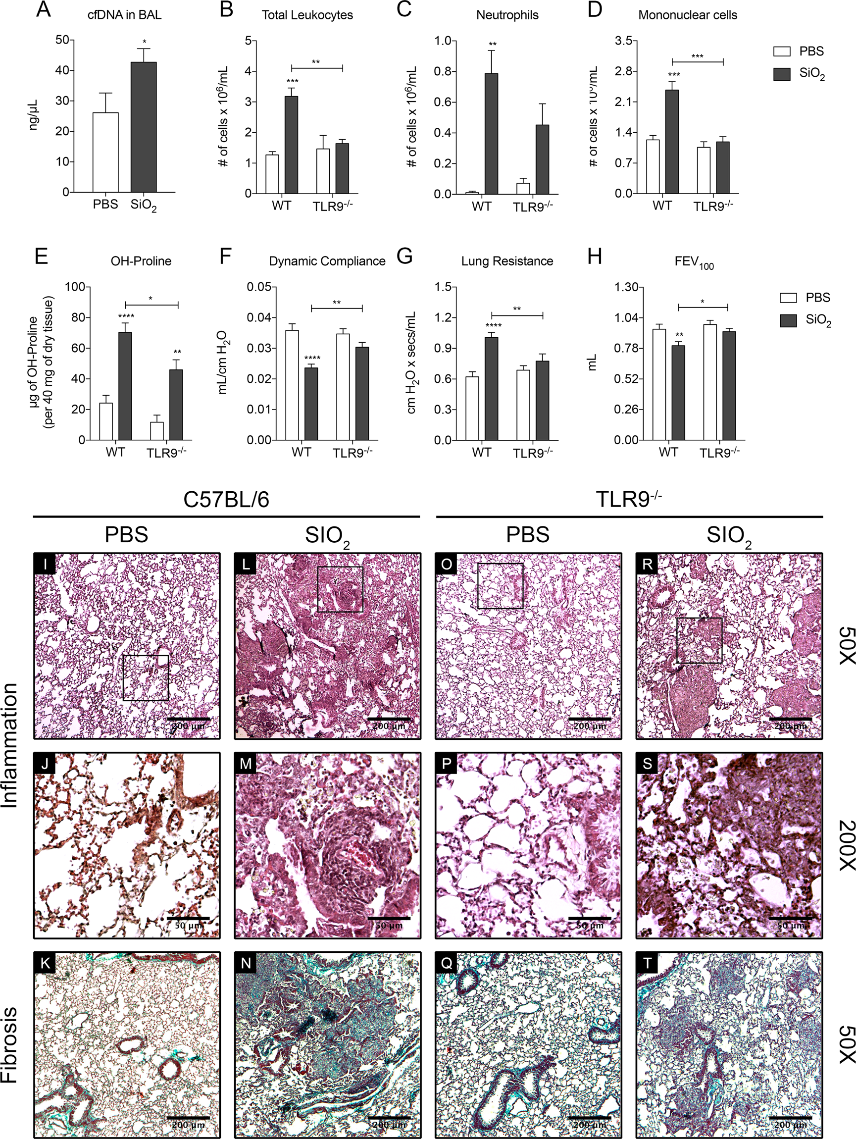
TLR9 deletion prevents silica inflammation and fibrosis. (A) Cell free DNA in PBS (n = 4) and in SiO2 (n = 5) exposed WT mice (10 mg). Data represented as mean ± SEM. p-value was calculated using one-tailed Student’s test; *p < 0.05. (B–D) Number of cells recovered in the BALF of WT (n = 6) and TLR9−/− (n = 4) mice after silica exposure: total cells (B), neutrophils (C) and mononuclear cells (D). (E) Hydroxyproline content in the lung parenchyma of WT (n = 5) and TLR9−/− (n = 4) mice. (F–H) Lung function parameters of WT (n = 12) and TLR9−/− (n = 10) mice: Dynamic compliance (F), Lung Resistance (G) and Forced Expiratory volume at 100 ms (H). (I to J) Representative sections of lung lobes stained with Haematoxylin and Eosin (Inflammation) and Gomori’s Trichrome (Fibrosis). Bars, 200 µm for 50x magnification and 50 µm for 200×. Data represented as mean ± SEM. p-values were calculated using two-way ANOVA test with Dunn’s uncorrected test; *p < 0.05; **p < 0.01; ***p < 0.001.