Figure 3
From: Converging TLR9 and PI3Kgamma signaling induces sterile inflammation and organ damage

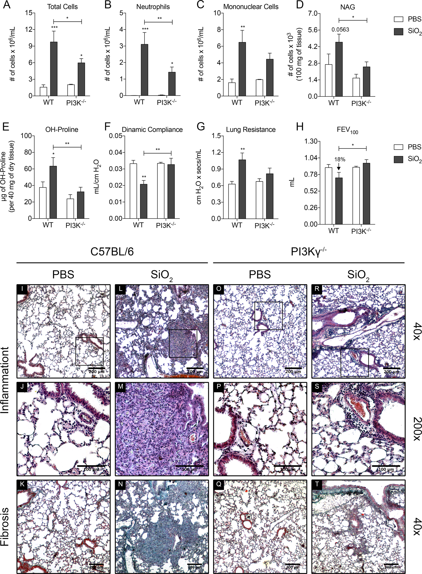
PI3Kγ deletion prevents silica inflammation and fibrosis. (A–C) Number of cells recovered in the BALF of WT (n = 5) and PI3Kγ−/− (n = 6) mice after silica exposure (10 mg): total cells (A), neutrophils (B) and mononuclear cells (C). (D) NAG activity in the lung parenchyma. (E) Hydroxyproline content in the lung parenchyma of WT (n = 5) and PI3Kγ−/− (n = 6) mice. (F–H) Lung function parameters of WT (n = 5) and PI3Kγ−/− (n = 6) mice: Dynamic compliance (F), Lung Resistance (G) and Forced Expiratory volume at 100 ms (H). (I to J) Representative sections of lung lobes stained with Haematoxylin and Eosin (Inflammation) and Gomori’s Trichrome (Fibrosis). Bars, 200 µm for 40x magnification and 100 µm for 200x. Data represented as mean ± SEM. p-value was calculated using two-way ANOVA test with uncorrected Fisher’s LSD test; *p < 0.05; **p < 0.01; ***p < 0.001.