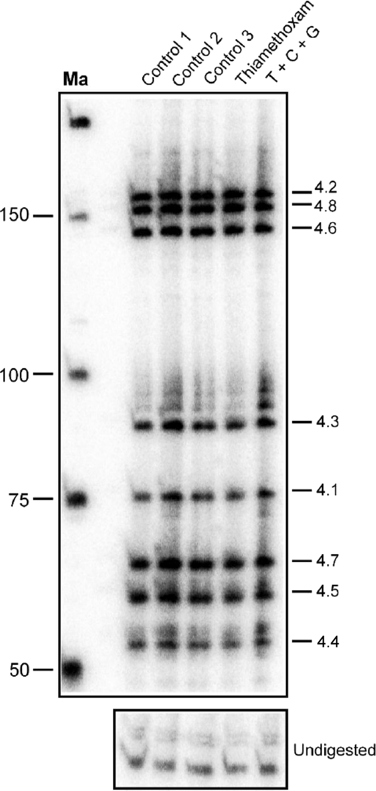
Figure 4

Apis mellifera Dscam exon 4 alternative splicing in brains of worker bees is unaffected by thiamethoxan, carbendazim and glyphosate. Denaturing polyacrylamide gels (6%) showing the splicing pattern of Dscam exon 4 isoform variables on top by digestion of a 32P labeled RT-PCR product with a combination of HaeIII, MspI, and Sau3AI restriction enzymes in control bees dissected immediately after collection (Control 1), control bees fed with water and sucrose for 24 h (Control 2) and control bees injected with water (Control 3) compared to bees injected with thiamethoxam (1 µM) and bees injected with a mixture of thiamethoxam (1 µM, T), carbendazim (2 mM, C) and glyphosate (32 mM, G) 24 h prior dissection. Samples were run on 8% polyacrylamide gel. Ma: DNA marker. The undigested PCR product is shown at the bottom.