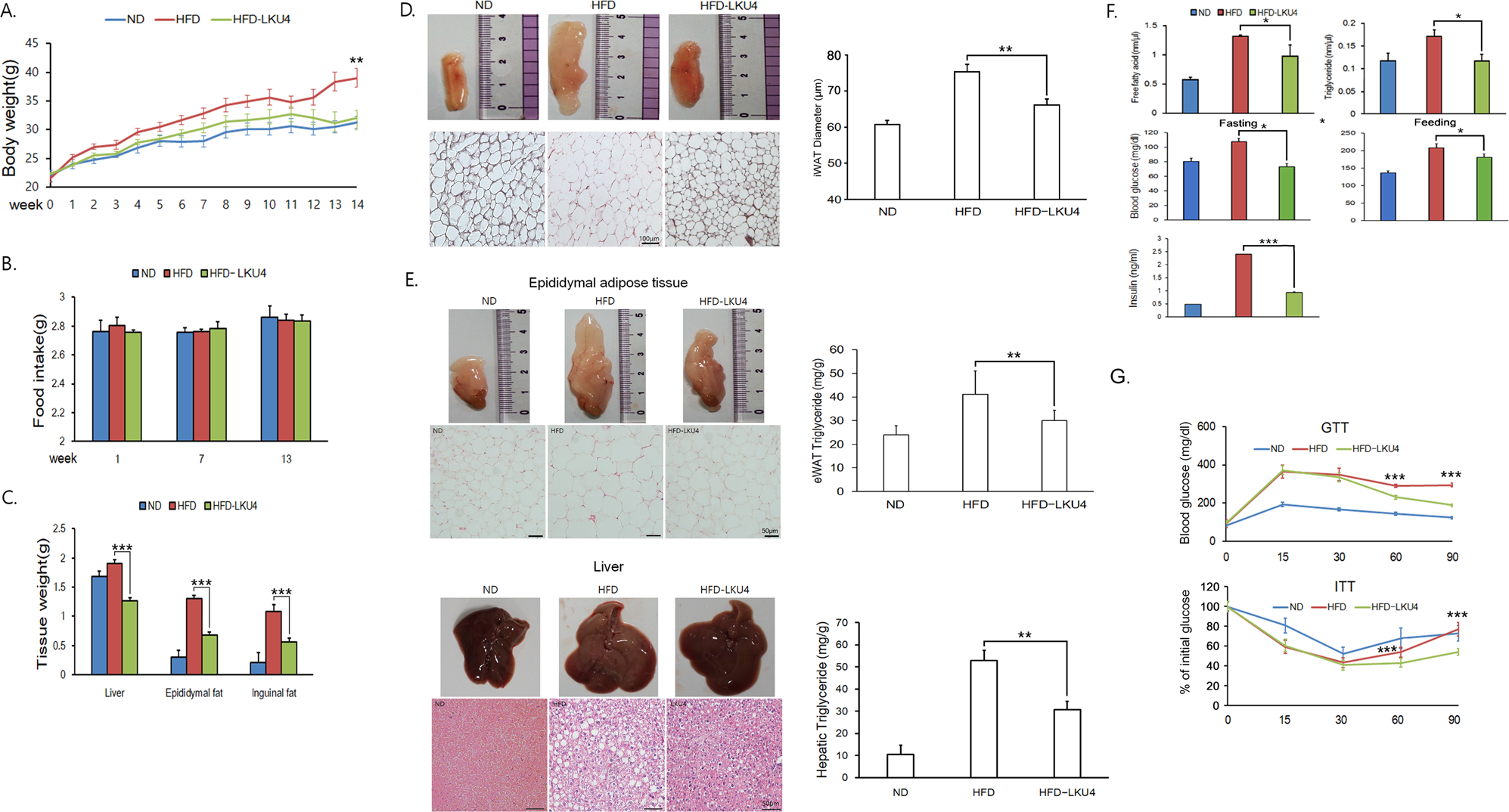
Figure 1

The effect of LKU4 administration on HFD-induced obesity and insulin resistance. LKU4 or PBS was administered daily to C57BL/6 male mice for 14 weeks during feeding with a ND or a HFD. Body weight (A), food intake (B), and tissue weight (C) of mice were measured as indicated (n = 8–10 per group). (D) Shown are representative images (left upper), histology (left middle), and adipocyte size (in diameter; lower) in iWAT from each group of mice (n = 160 adipocytes; 40 adipocytes x 4 animals per group). (E) Representative images (left upper), histology (left middle; n = 4 per group) and triglyceride content of the eWAT and the liver (lower; n = 6–9 per group). (F) Plasma levels of free fatty acids, triglycerides, glucose, and insulin (n = 5–8 per group). (G) Glucose tolerance and insulin tolerance tests were performed on each group of mice after 14 weeks of feeding (n = 6–8 per group). HFD vs HFD-LKU4; *P < 0.05, **P < 0.005, ***P < 0.001.