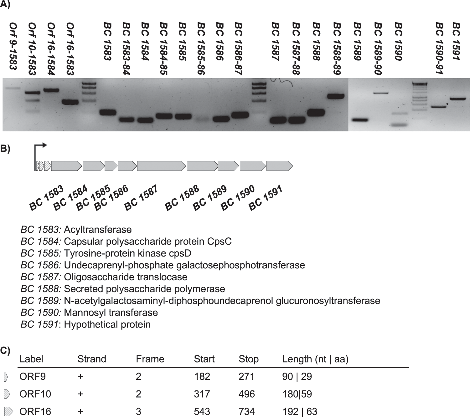
Figure 2

The eps2 region is organized in a single transcriptional unit. (A) qPCR with cDNA obtained by reverse transcribing RNA isolated from a broth culture of B. cereus grown for 24 h at 30 °C. The arrow indicates the hypothetical promoter region of the operon. (B) The genetic structure determined from the RT-PCR results and the automatic annotation of the genes included in the operon. (C) Upstream putative ORFs found via ORF-Finder analysis and included as an integrant of the operon.