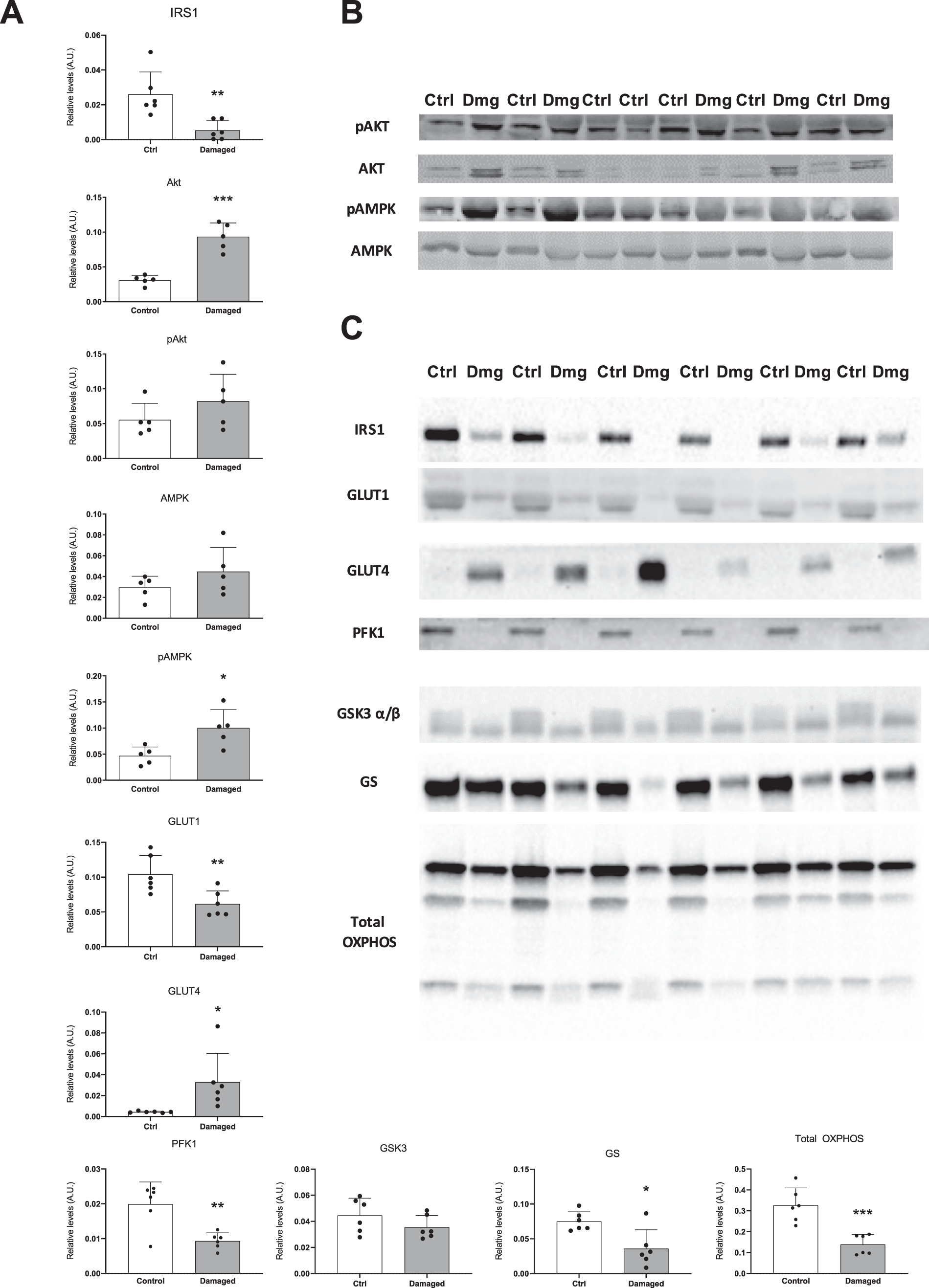
Figure 4

Altered protein levels associated with glucose metabolism and mitochondrial activity in nerve damaged TA. Rat TA was subjected to western blot anaylsis of proteins associated with glucose metabolism and oxidative metabolism. (A) IRS1 is downregulated, while total AKT is increased. Insulin independent GLUT4 signaling via pAMPK is slightly increased as well. Glucose transporter GLUT4 is increased, while GLUT1 levels are decreased in nerve damage. The rate limiting proteins of glycolysis (PFK1) and glycogen synthesis (GS) are decreased with nerve damaged TA. Additionally, total oxidative phosphorylation of mitochondrial proteins is decreased in nerve damage. (B) Bands corresponding to the western blot quantification in (A) (n = 5). All band intensities were normalized to total protein content of the gel. (C) Bands corresponding to the western blot quantification in (A) (n = 6). These blots were added at a later stage of the manuscript. All band intensities were normalized to total protein content of the gel. *p < 0.05, **p < 0.01, ***p < 0.001.