Figure 1
From: Native aggregation is a common feature among triosephosphate isomerases of different species

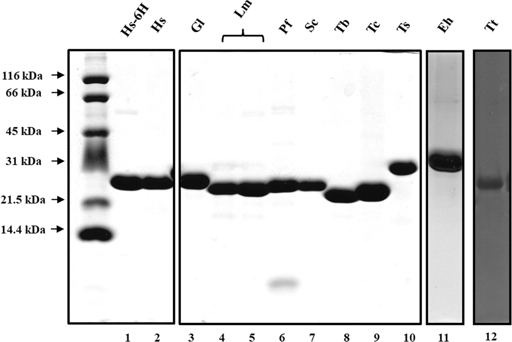
SDS-PAGE of purified TIMs from all species used in this work. Tricine-SDS polyacrylamide gel showing purified TIMs from: Gl: Giardia lamblia (GlTIM), Sc: Saccharomyces cerevisiae (ScTIM), Pf: Plasmodium falciparum (PfTIM), Eh: Entamoeba histolytica (EhTIM), Lm: Leishmania mexicana (LmTIM), Hs-6H: Homo sapiens with histidine tag (HsTIMHIS), Hs: Homo sapiens (HsTIM), Ts: Taenia solium (TsTIM), Tt: Thermus thermophilus (TtTIM), Tc: Trypanosoma cruzi (TcTIM), Tb: Trypanosoma brucei (TbTIM). The molecular mass of the markers is indicated on the left side.