Figure 5
From: Native aggregation is a common feature among triosephosphate isomerases of different species

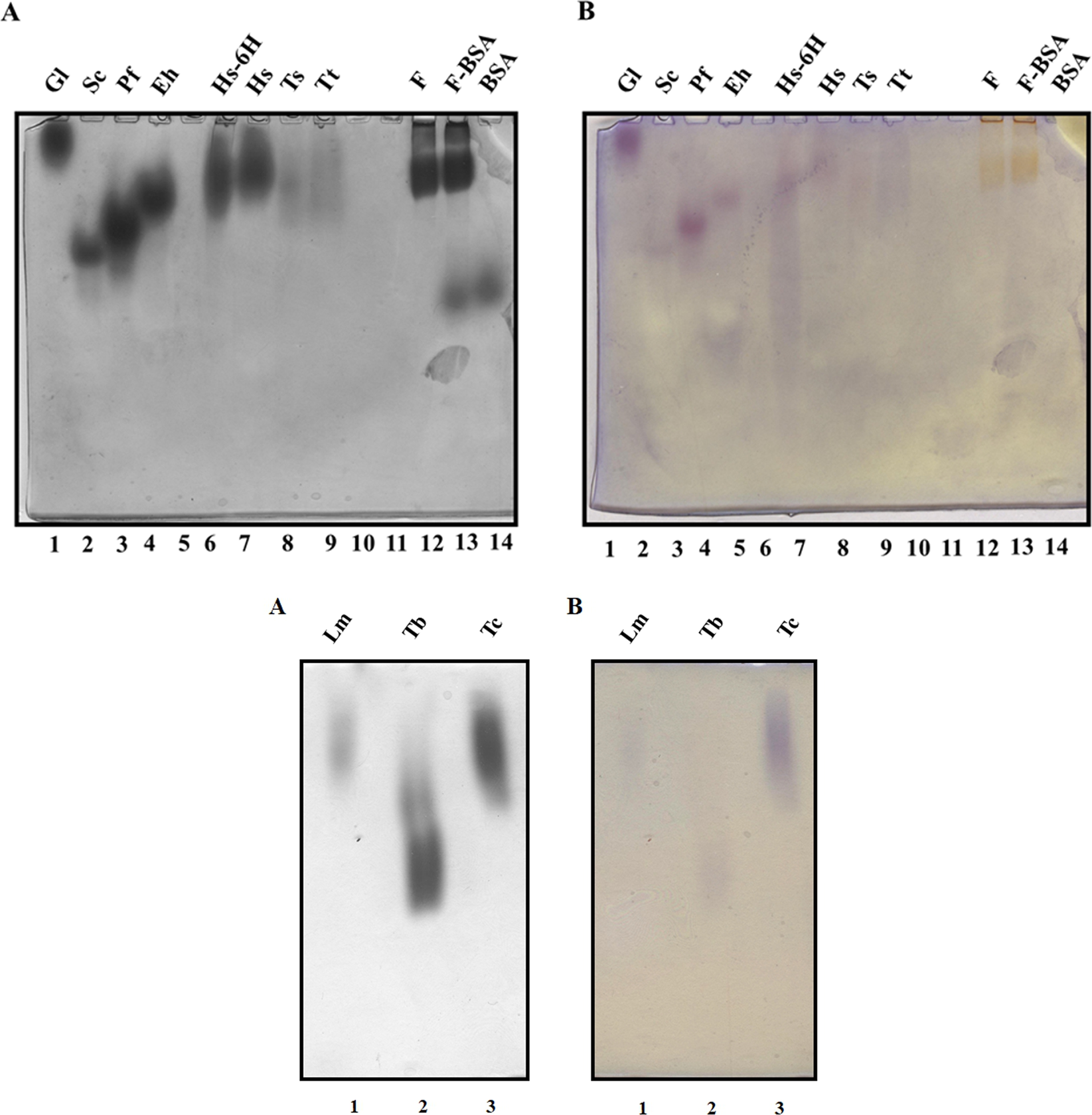
In-gel activity of the native TIM aggregates from all species used in this work. Left panels: Coomassie blue stained gels of the TIM aggregates separated in normal polarity (upper panel, A) and inverse polarity (lower panel, A). Right panels: TIM activity stain of the native aggregates for the corresponding gels in the left panels (upper and lower panels, B). The name codes are the same as those used in Fig. 1.