Figure 3
From: MBSP1: a biosurfactant protein derived from a metagenomic library with activity in oil degradation

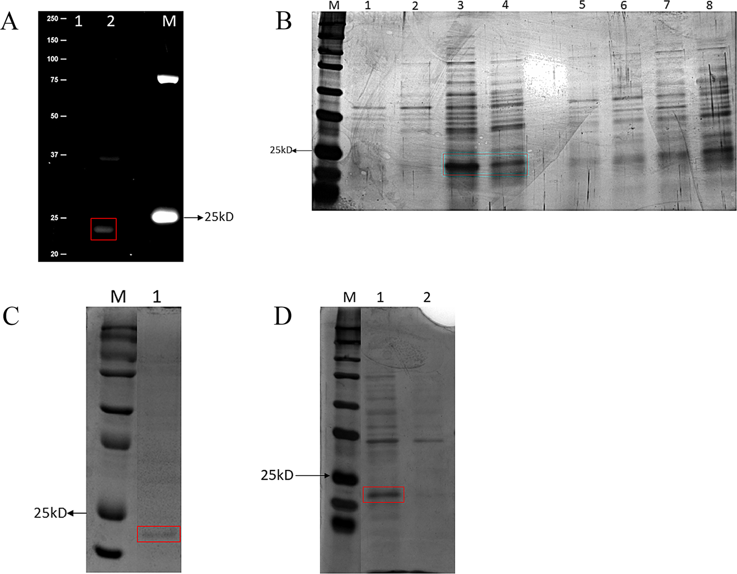
MBSP1 expression: (A) Detection of His tagged protein in cell extract using InVision™ His-tag In-gel Stain in polyacrylamide gel electrophoresis (SDS-PAGE). M- Kaleidoscope molecular weight marker of 250 kDa (Bio-Rad, Hercules, CA, USA); 1- pHis-parallel1 (negative control). 2- MBSP1 protein (uncropped original picture); (B) Analysis of proteins in cell-free supernatant extract using polyacrylamide gel electrophoresis (SDS-PAGE) at 37 °C with different induction times. M - Kaleidoscope molecular weight marker of 250 kDa (Bio-Rad, Hercules, CA, USA) 1- MBSP1 clone non-induced. 2- MBSP1 clone induced at 4 h. 3- MBSP1 clone induced at 18 h. 4- MBSP1 without IPTG at 18 h. 5- pHis-parallel1 non-induced. 6- pHis-parallel1 induced for 4 h. 7- pHis-parallel1 induced at 18 h. 8- Non-induced pHis-parallel1 at 18 h (uncropped original picture); (C) Protein purified from cell-free supernatant using HisTrap column after ammonium sulfate precipitation with approximate molecular weight of 20 kDa, using polyacrylamide gel electrophoresis (SDS-PAGE). M- Kaleidoscope molecular weight marker of 250 kDa (Bio-Rad, Hercules, CA, USA). 1- Purified protein (cropped figure, original gel is shown in Supplementary Fig. S4); (D) Proteins after acid precipitation with ammonium sulfate in SDS-PAGE. M- Kaleidoscope molecular weight marker of 250 kDa (Bio-Rad, Hercules, CA, USA). 1- Supernatant free of cells carrying MBSP1 after acid precipitation. 2- Supernatant free of cells transformed with pHis-parallel1 (negative control) after acid precipitation (cropped figure, original gel is shown in Supplementary Fig. S5).