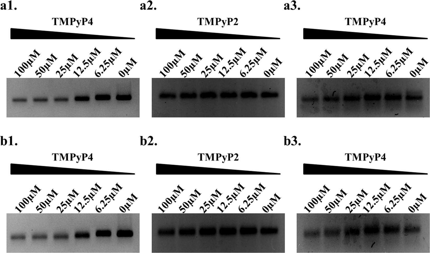
Figure 6

Primer extension assays. Primer extension assay shows a decrease in the intensity of band with increasing concentration of TMPyP4 for both the HGQs (a1: HGQ-NV-L with TMPyP4; a2: HGQ-NV-L with TMPyP2; a3: HGQ-NV-Lmut with TMPyP4; b1: HGQ-NV-G with TMPyP4; b2: HGQ-NV-G with TMPyP2 and b3: HGQ-NV-Gmut with TMPyP4). Full-length gels are shown in Fig. S20.