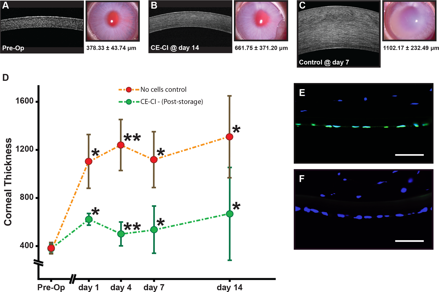
Figure 6

Functional assessment of HCEnCs post storage in a rabbit model of bullous keratopathy. Representative in vivo confocal and corresponding corneal images of (A) pre-operated rabbit, (B) rabbit receiving CE-CI at day 14, and (C) control rabbit with no cells injected at day 7. (D) Graph summarizing the corneal thickness of rabbits that received CE-CI of HCEnCs post-storage (n = 4) and controls (n = 4) over 14 days (*p < 0.05, **p < 0.01). Staining of a human-specific nuclei antibody on (E) a section of an excised cornea of rabbit receiving CE-CI of HCEnCs post-storage, and (F) the rabbit cornea as a negative control. Scale bar: 50 μm.