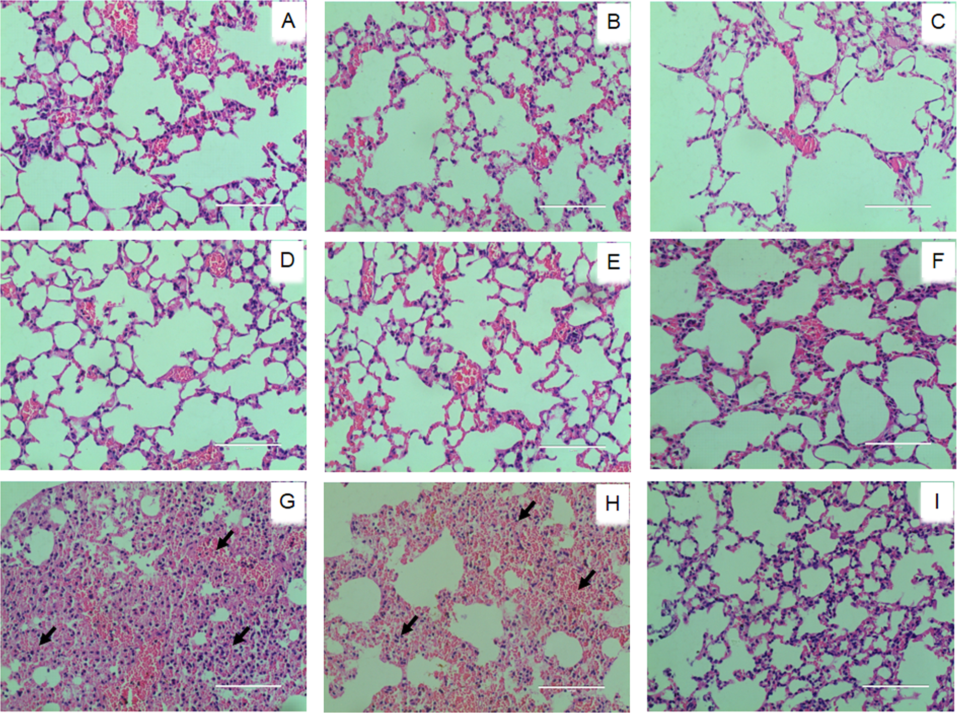
Figure 5

Histopathological evaluation of lung tissues of mice after lethal virulent A. pleuropneumoniae serovar 1 challenge. Mice in groups immunized with lipoproteins APJL_0386 (A), APJL_0922 (B), APJL_1380 (C), APJL_1740 (D), APJL_1976 (E), as well as bacterin (F) showed normal lungs under microscopy. Lung tissues from mice in the GST-immunized group (G) and negative control group (H) exhibited serious inflammatory infiltration, with serous exudates with neutrophils and erythrocytes being observed in many bronchioles and alveoli (black arrows). Lung sections of the healthy mice (I) served as a physiological control. The white band at the lower right corner of each picture indicates the scale bar (100 μm).