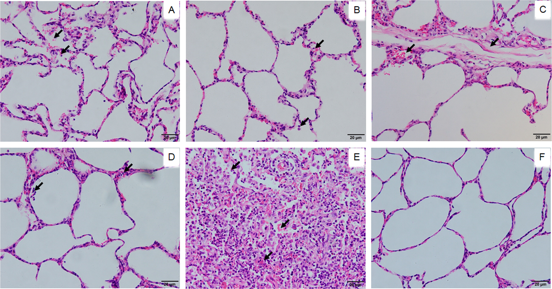
Figure 6

Histopathological examinations of pigs after challenge. Pigs were immunized with lipoproteins and bacterin twice, respectively, and challenged with virulent A. pleuropneumoniae. The lower right corner of each picture indicates the scale bar (20 μm). (A) APJL_0922, arrows indicate exudations include erythrocytes and alveolar epithelial cells in alveoli. (B) APJL_1380, arrows indicate slight congestion of alveolar walls and exfoliated alveolar epithelial cells. (C) APJL_1976, congestion and thickness of pulmonary interlobular septa. (D) Bacterin, swelling of alveolar walls. (E) The negative control, severe inflammatory infiltration in alveoli, with neutrophils, alveolar epithelia cells and erythrocytes. (F) Health lung tissue shows normally inflated alveoli.