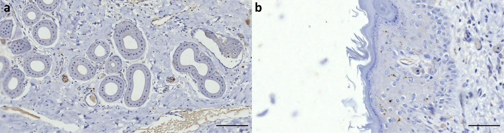
Figure 19

(Cow, Anti-PGP 9.5, 1:500). (a) Small nerve fibres in spatial association with alveolar glands. There is also unspecific staining of serum in the blood vessels (scale bar 100 µm). (b) intraepithelial nerve fibres (scale bar 50 µm).

(Cow, Anti-PGP 9.5, 1:500). (a) Small nerve fibres in spatial association with alveolar glands. There is also unspecific staining of serum in the blood vessels (scale bar 100 µm). (b) intraepithelial nerve fibres (scale bar 50 µm).