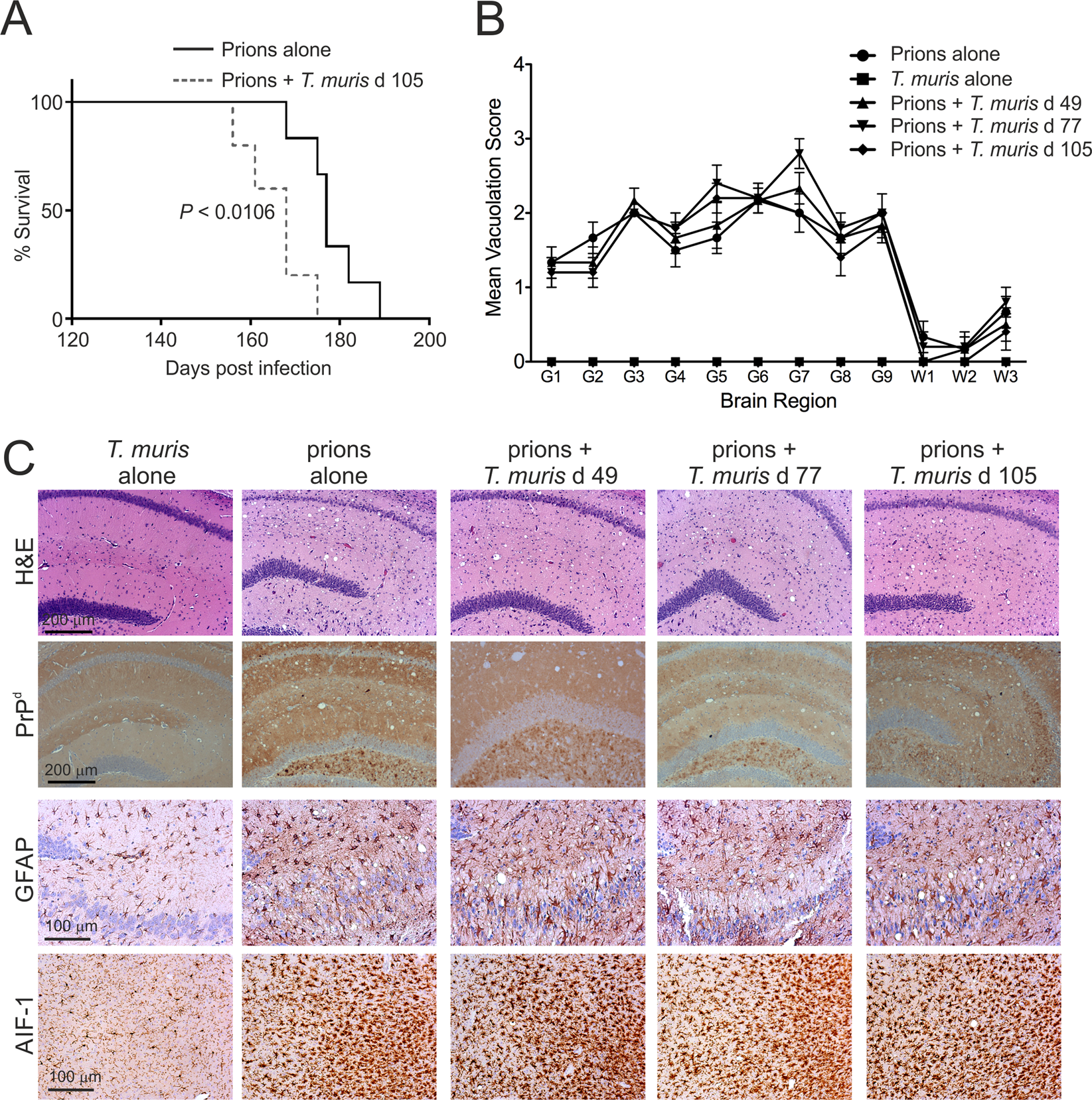
Figure 2

Co-infection with a low dose of T. muris does not affect the development of neuropathology at the terminal stage of prion disease. Mice were first injected with ME7 scrapie prions directly into the CNS by IC injection. Then, at the times indicated after prion infection the mice were orally co-infected with a low dose of T. muris infective eggs (~20/mouse; 5–6 mice/group). (A) Co-infection with a low dose of T. muris at 105 d after prion infection significantly reduced the clinical prion disease survival time when compared to mice infected with prions alone (P < 0.0106, Log-rank [Mantel-Cox] test). (B) The severity of the spongiform pathology (vacuolation) within each brain was scored on a scale of 1–5 in nine grey matter and three white matter areas as described in the legend to Fig. 1. Each point represents the mean vacuolation score ± SEM, n = 5–6 mice/group. (C) Brains were collected from all mice at the terminal stage of prion disease and the neuropathology compared. High levels of spongiform pathology (H&E, upper row), heavy accumulations of PrPd (brown, second row), reactive astrocytes expressing GFAP (brown, third row) and active microglia expressing AIF-1 (brown, bottom row) were detected in the brains of all the terminally-affected mice. Haematoxylin was used as a nuclear counterstain (blue). n = 5–6 mice/group. None of the histopathological signs of prion disease were detected in the brains of mice infected with a low dose of T. muris alone.