Figure 3

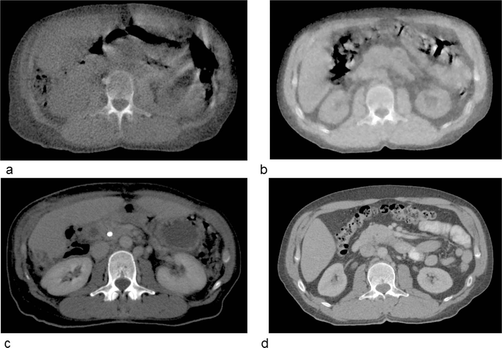
Differences in the image quality of MVCTs of Hi-ART device (a) and the Radixact tomotherapy system (b). In the second row (c) and (d) show the planning kilovoltage CTs for comparison.

Differences in the image quality of MVCTs of Hi-ART device (a) and the Radixact tomotherapy system (b). In the second row (c) and (d) show the planning kilovoltage CTs for comparison.