Figure 3

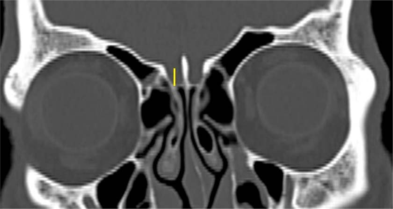
Keros classification7 was assessed according to the depth of the cribriform plate, measured as the vertical height of the olfactory fossa in the CT coronal plane and classified as type 1, 2 and 3.

Keros classification7 was assessed according to the depth of the cribriform plate, measured as the vertical height of the olfactory fossa in the CT coronal plane and classified as type 1, 2 and 3.