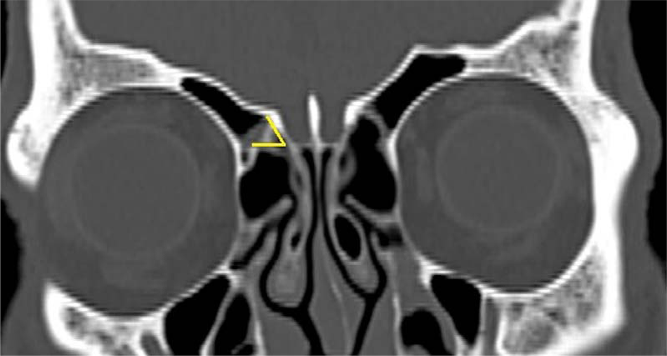
Figure 4

Gera classification9 was assessed by measuring at the angle formed by the lateral lamella of the cribriform plate and the continuation of the horizontal plane passing through the cribriform plate in the CT coronal plane and classified as Class I, II and III.