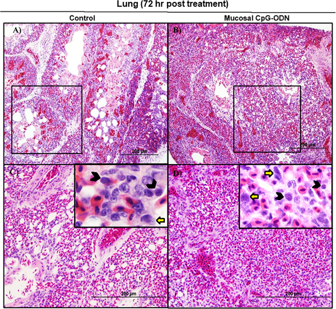
Figure 12

Histology of lungs 72 hr following IPL saline (A and C) and IPL CpG-ODN (B and D) delivery. At lower magnification (20×), the saline control lung showed slightly less cellularity and more air spaces (A) compared to the CpG-ODN treated lung appearing compact and more cellular (B), although the contrast was less striking 72 hours post treatment. At higher magnification (40× and 100×), the IPL CpG-ODN treated lung (D) contained visibly more lymphocytes (black arrow heads in the insert) and large mononuclear cells resembling monocytes/ macrophages (yellow arrows in the insert) compared to the saline control lungs (C).