Figure 5

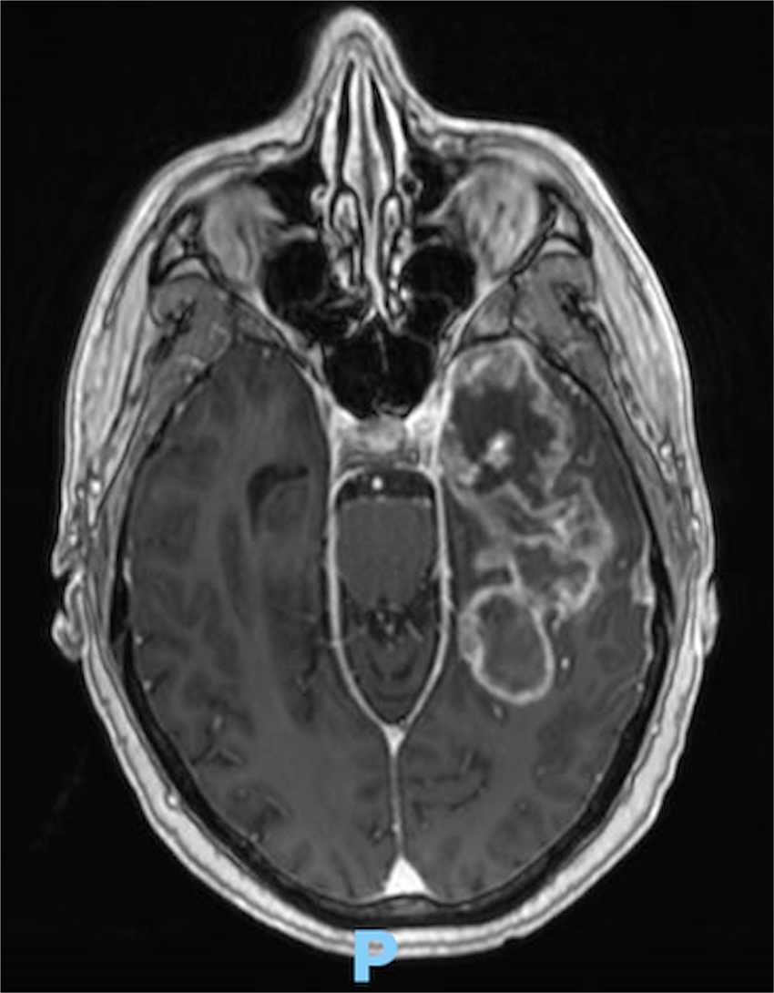
T1-weighted gadolinium-enhanced axial MRI brain demonstrating a high complexity lesion with a 5.7% likelihood of complete resection.

T1-weighted gadolinium-enhanced axial MRI brain demonstrating a high complexity lesion with a 5.7% likelihood of complete resection.