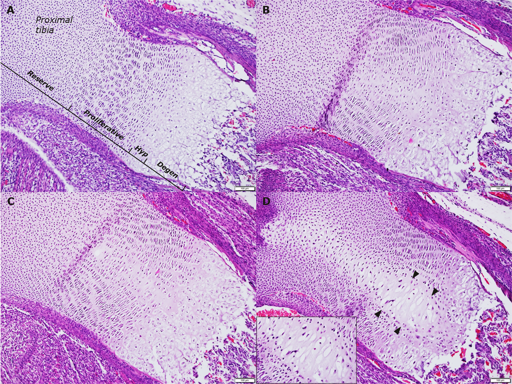
Figure 1

Representative examples of histopathologic changes in foetal tibial growth plates resulting from HI-infusion throughout gestation. (A) Grade 0, no changes. (B) Grade 1, minimal morphological changes centrally, involving all zones except reserve zone. (C) Grade 2, moderate morphological changes centrally, involving all zones except reserve zone. (D) Grade 3, severe morphological changes centrally (arrowheads), involving all zones, with loss of columnar organisation of chondrocytes, the few remaining chondrocytes appearing hypertrophic with pyknotic nuclei (insert). Degen, degenerative; Hyp, hypertrophic. Magnification: x100; insert x200.